Suppr超能文献

颅内静脉窦血栓形成所致脑室内出血:病例报告

Intraventricular hemorrhage caused by intracranial venous sinus thrombosis: Case report.

作者信息

Zhang Hongbo, Song Shuijiang, Ouyang Zhiyuan

机构信息

Department of Neurology, Third People's Hospital of Huzhou Department of Neurology, Second Affiliated Hospital, School of Medicine, Zhejiang University, Zhejiang, China.

出版信息

Medicine (Baltimore). 2016 Jul;95(28):e3907. doi: 10.1097/MD.0000000000003907.

Abstract

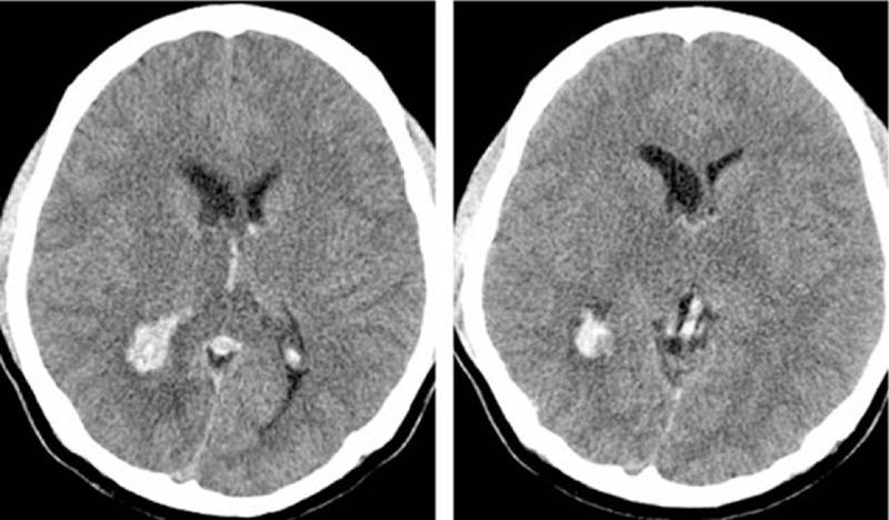
Intraventricular hemorrhage (IVH) may occur as an isolated event from primary ventricular bleeding or as a complication of brain hemorrhage from another etiology. It is associated with high mortality and morbidity. The underlying risk factors include hypertension and aneurysms, among others. However, not all the exact etiologies are known. In this study, a case of a 24-year-old man who suffered from a headache and a decline in memory has been reported. A brain computed tomography scan suggested the diagnosis of spontaneous intraventricular hemorrhage. However, brain magnetic resonance imaging, magnetic resonance venography, and other tests eventually confirmed cerebral venous sinus thrombosis.Cerebral venous sinus thrombosis may be one of the causes of intraventricular hemorrhage and should be considered for unexplained intraventricular hemorrhage.

摘要

脑室内出血(IVH)可能是原发性脑室出血的孤立事件,也可能是其他病因导致脑出血的并发症。它与高死亡率和高发病率相关。潜在风险因素包括高血压和动脉瘤等。然而,并非所有确切病因都已知。在本研究中,报告了一例24岁男性,他出现头痛和记忆力减退。脑部计算机断层扫描提示自发性脑室内出血的诊断。然而,脑部磁共振成像、磁共振静脉造影及其他检查最终确诊为脑静脉窦血栓形成。脑静脉窦血栓形成可能是脑室内出血的原因之一,对于不明原因的脑室内出血应予以考虑。

https://cdn.ncbi.nlm.nih.gov/pmc/blobs/cdf6/4956778/b2365faad717/medi-95-e3907-g001.jpg

文献AI研究员

20分钟写一篇综述,助力文献阅读效率提升50倍。

立即体验

用中文搜PubMed

大模型驱动的PubMed中文搜索引擎

马上搜索

文档翻译

学术文献翻译模型,支持多种主流文档格式。

立即体验