Arshad Hafiz Muhammad Sharjeel, Bharmal Sheila, Duman Deniz Guney, Liangpunsakul Suthat, Turner Brian G
Department of Internal Medicine, University of Illinois at Chicago/Advocate Christ Medical Center, Oak Lawn, Illinois, USA.
Department of Gastroenterology, University of Minnesota, Minneapolis, Minnesota, USA.
J Investig Med. 2017 Jan;65(1):7-14. doi: 10.1136/jim-2016-000167. Epub 2016 Aug 29.
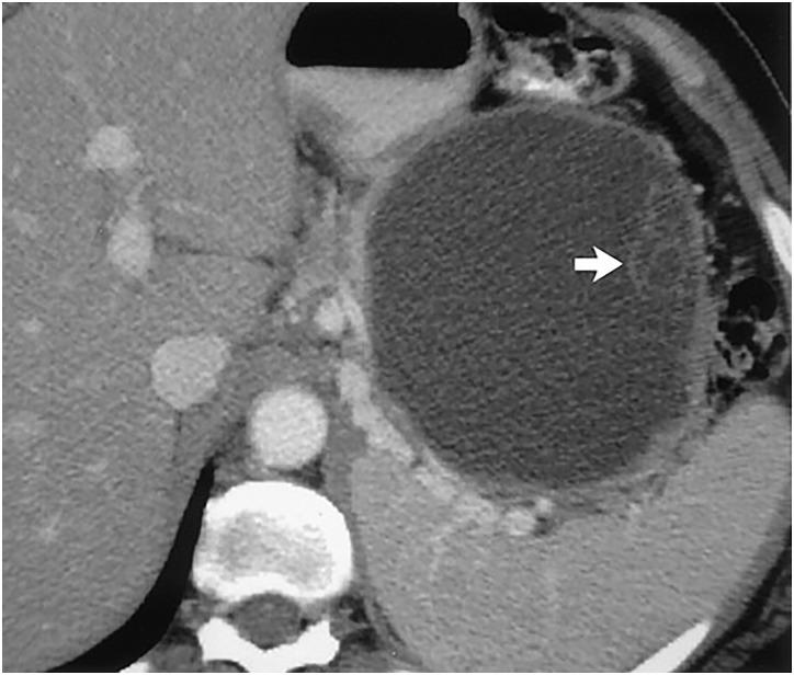
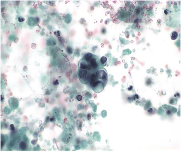
Pancreatic cystic lesions can be benign, premalignant or malignant. The recent increase in detection and tremendous clinical variability of pancreatic cysts has presented a significant therapeutic challenge to physicians. Mucinous cystic neoplasms are of particular interest given their known malignant potential. This review article provides a brief but comprehensive review of premalignant pancreatic cystic lesions with advanced endoscopic ultrasound (EUS) management approaches. A comprehensive literature search was performed using PubMed, Cochrane, OVID and EMBASE databases. Preneoplastic pancreatic cystic lesions include mucinous cystadenoma and intraductal papillary mucinous neoplasm. The 2012 International Sendai Guidelines guide physicians in their management of pancreatic cystic lesions. Some of the advanced EUS management techniques include ethanol ablation, chemotherapeutic (paclitaxel) ablation, radiofrequency ablation and cryotherapy. In future, EUS-guided injections of drug-eluting beads and neodymium:yttrium aluminum agent laser ablation is predicted to be an integral part of EUS-guided management techniques. In summary, International Sendai Consensus Guidelines should be used to make a decision regarding management of pancreatic cystic lesions. Advanced EUS techniques are proving extremely beneficial in management, especially in those patients who are at high surgical risk.
胰腺囊性病变可以是良性、癌前或恶性的。胰腺囊肿检测率的近期上升及其巨大的临床变异性给医生带来了重大的治疗挑战。黏液性囊性肿瘤因其已知的恶性潜能而备受关注。这篇综述文章对癌前胰腺囊性病变及先进的内镜超声(EUS)管理方法进行了简要而全面的综述。使用PubMed、Cochrane、OVID和EMBASE数据库进行了全面的文献检索。胰腺癌前囊性病变包括黏液性囊腺瘤和导管内乳头状黏液性肿瘤。2012年国际仙台指南为医生管理胰腺囊性病变提供了指导。一些先进的EUS管理技术包括乙醇消融、化疗(紫杉醇)消融、射频消融和冷冻治疗。未来,预计EUS引导下注射药物洗脱微球和钕:钇铝石榴石激光消融将成为EUS引导管理技术的一个组成部分。总之,应使用国际仙台共识指南来决定胰腺囊性病变的管理。先进的EUS技术在管理中已证明极其有益,尤其是对于那些手术风险高的患者。