Suppr超能文献

计算机断层扫描与超声检查在检测异物的成分和深度方面的比较:一项体外研究。

Comparison between Computed Tomography and Ultrasonography in Detecting Foreign Bodies Regarding Their Composition and Depth: An In Vitro Study.

作者信息

Haghnegahdar Abdolaziz, Shakibafard Alireza, Khosravifard Negar

机构信息

Dept. of Oral and Maxillofacial Radiology, School of Dentistry, Shiraz University of Medical Sciences, Shiraz, Iran.

Specialist in Radiology and Sonography, TABA Medical Imaging Center, Shiraz, Iran.

出版信息

J Dent (Shiraz). 2016 Sep;17(3):177-84.

Abstract

STATEMENT OF THE PROBLEM

Impaction of foreign bodies in the soft tissues is a sequela of traumatic and penetrating injuries. Such foreign bodies should be removed due to the complications they cause. Patient's history, clinical evaluation and imaging examinations aid in the proper detection and localization of the foreign bodies.

PURPOSE

The aim of the present study was to compare the sensitivity of computed tomography (CT) and ultrasonography for detecting foreign bodies in in-vitro models simulating facial soft tissues.

MATERIALS AND METHOD

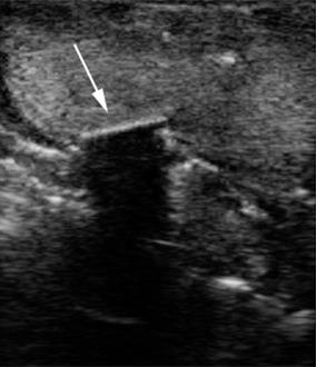
Fifty foreign particles with five different compositions including wood, glass, metal, plastic, and stone were embedded in five calf tongues at 1, 2, 3, 4 and 5 cm depths. CT and ultrasonography were compared regarding their capability of detecting and localizing the foreign bodies.

RESULTS

Wood and plastic foreign bodies were demonstrated more clearly on ultrasonography images. High density materials such as metal, stone, and glass were detected with almost the same accuracy on CT and ultrasonography examinations. Visibility of the foreign bodies deteriorated on ultrasonography images as their depth increased; however, CT appearances of the foreign particles were not influenced by their depths.

CONCLUSION

Ultrasonography is an appropriate technique for detection of foreign bodies especially the ones with low density. Therefore, it seems logical to perform ultrasonography in combination with CT in cases with the suspicion of foreign body impaction.

摘要

问题陈述

软组织内异物嵌入是创伤性和穿透性损伤的后遗症。由于这些异物会引发并发症,所以应予以取出。患者病史、临床评估和影像学检查有助于正确检测和定位异物。

目的

本研究的目的是比较计算机断层扫描(CT)和超声检查在模拟面部软组织的体外模型中检测异物的敏感性。

材料与方法

将包括木头、玻璃、金属、塑料和石头在内的五种不同成分的五十个异物分别嵌入五个小牛舌头的1、2、3、4和5厘米深度处。比较CT和超声检查在检测和定位异物方面的能力。

结果

木头和塑料异物在超声图像上显示得更清晰。金属、石头和玻璃等高密度材料在CT和超声检查中的检测准确率几乎相同。随着异物深度增加,其在超声图像上的可见度降低;然而,异物颗粒的CT表现不受其深度影响。

结论

超声检查是检测异物尤其是低密度异物的合适技术。因此,对于怀疑有异物嵌入的病例,联合进行超声检查和CT检查似乎是合理的。

https://cdn.ncbi.nlm.nih.gov/pmc/blobs/cec5/5006826/386d02cf5fe2/jds-17-177-g001.jpg

文献AI研究员

20分钟写一篇综述,助力文献阅读效率提升50倍。

立即体验

用中文搜PubMed

大模型驱动的PubMed中文搜索引擎

马上搜索

文档翻译

学术文献翻译模型,支持多种主流文档格式。

立即体验