Suppr超能文献

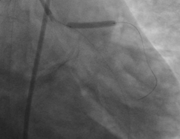
Myocardial Infarction in a Young Patient After Acute Exposure to Carbon Monoxide.

作者信息

Onal Ozkan, Celik Derya, Aslanlar Emine, Avci Ahmet, Bengi Celik Jale

机构信息

Department of Anesthesiology and Reanimation, Selcuk University Medical Faculty, Konya, Turkey.

出版信息

Anesth Pain Med. 2016 Feb 13;6(3):e33154. doi: 10.5812/aapm.33154. eCollection 2016 Jun.

Abstract
摘要
https://cdn.ncbi.nlm.nih.gov/pmc/blobs/49e6/5018305/aa923edcbe2c/aapm-06-03-33154-g001.jpg

文献AI研究员

20分钟写一篇综述,助力文献阅读效率提升50倍。

立即体验

用中文搜PubMed

大模型驱动的PubMed中文搜索引擎

马上搜索

文档翻译

学术文献翻译模型,支持多种主流文档格式。

立即体验