Suppr超能文献

子宫内膜癌孤立性肱骨复发

Isolated humeral recurrence in endometrial carcinoma.

作者信息

Devdas Santosh Kumar, Digumarti Leela, Digumarti Raghunadharao, Patro Kunha Charan, Nutakki Ramakoteswararao

机构信息

Department of Medical Oncology, M.S. Ramaiah Medical College, Bengaluru, Karnataka, India.

Department Gynaecological Oncology and Medical Oncology, Homi Bhabha Cancer Hospital and Research Centre, Aganampudi, Visakhapatnam, Andhra Pradesh, India.

出版信息

Indian J Med Paediatr Oncol. 2016 Jul-Sep;37(3):199-201. doi: 10.4103/0971-5851.190363.

Abstract

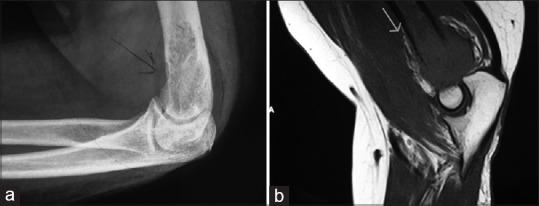
Isolated skeletal metastasis in endometrial carcinoma at recurrence is very rare. We report a 52-year-old woman diagnosed to have FIGO Stage 1b, Grade 1 endometrioid adenocarcinoma, presenting with isolated distal humerus metastasis, 2 years after surgery and adjuvant radiotherapy for primary disease. Imaging, bone scintigraphy, and cytology confirmed the diagnosis of poorly differentiated metastatic adenocarcinoma. She was treated with local radiotherapy followed by six cycles of paclitaxel and carboplatin chemotherapy along with zoledronic acid, monthly. She is symptom-free after the treatment and at a first follow-up visit after 3 months.

摘要

子宫内膜癌复发时出现孤立性骨转移非常罕见。我们报告一名52岁女性,诊断为FIGO 1b期、1级子宫内膜样腺癌,在原发性疾病接受手术和辅助放疗2年后,出现孤立性肱骨远端转移。影像学检查、骨闪烁显像和细胞学检查确诊为低分化转移性腺癌。她接受了局部放疗,随后接受了六个周期的紫杉醇和卡铂化疗,并每月使用唑来膦酸。治疗后她无症状,在3个月后的首次随访中情况良好。

https://cdn.ncbi.nlm.nih.gov/pmc/blobs/80c2/5027794/5e1e3d1bab53/IJMPO-37-199-g001.jpg

文献AI研究员

20分钟写一篇综述,助力文献阅读效率提升50倍。

立即体验

用中文搜PubMed

大模型驱动的PubMed中文搜索引擎

马上搜索

文档翻译

学术文献翻译模型,支持多种主流文档格式。

立即体验