Suppr超能文献

RIPK4和EZH2的高表达促进宫颈癌患者的淋巴结转移并预测良好预后。

High-Level Expression of RIPK4 and EZH2 Contributes to Lymph Node Metastasis and Predicts Favorable Prognosis in Patients With Cervical Cancer.

作者信息

Azizmohammadi Susan, Azizmohammadi Sima, Safari Aghdas, Kaghazian Maria, Sadrkhanlo Mina, Behnod Vahid, Seifoleslami Mehri

机构信息

Department of Gynecology, Hajar Hospital, AJA University of Medical Sciences, Tehran, Iran.

Department of Gynecology, Imam Reza Hospital, AJA University of Medical Sciences, Tehran, Iran.

出版信息

Oncol Res. 2017 Apr 14;25(4):495-501. doi: 10.3727/096504016X14749735594687. Epub 2016 Sep 30.

Abstract

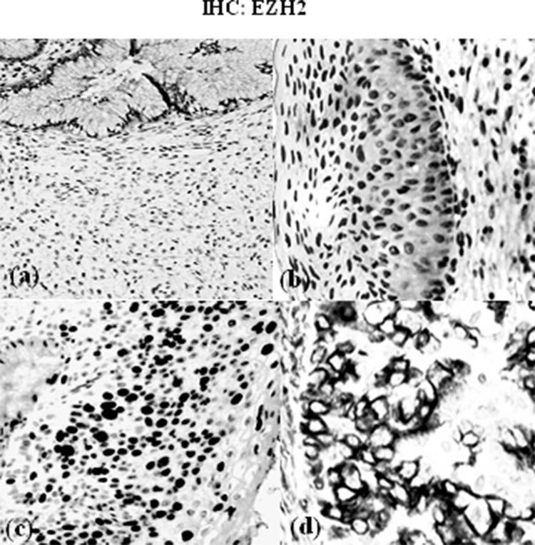
The investigation of specific genes will establish more useful biomarkers for accurate detection and management of gynecological cancers, especially patients with cervical cancer (CCP). The aim of this study was to evaluate the expression level of RIPK4 and EZH2 messenger RNA (RIPK4 and EZH2 mRNA) in CCP. Expression of RIPK4 and EZH2 in the tissues was determined by immunohistochemistry and qRT-PCR methods. Correlations of RIPK4 and EZH2 mRNA with clinical and pathological parameters were analyzed using the Fisher's exact test. The mRNA level of RIPK4 was significantly upregulated in tumor tissues compared with matched adjacent normal tissues (4.10 ± 0.89 vs. 1.5 ± 0.82; p = 0.021). EZH2 mRNA was increased in cancer tissues compared to normal tissues (3.54 ± 0.71 vs. 1.2 ± 0.65; p = 0.003). High expression of RIPK4 was observed in 25 patients (64.1%), whereas weak expression was seen in 14 cases (35.9%). Furthermore, the expression of RIPK4 was overexpressed in matched adjacent normal tissues (p = 0.004). FIGO stage and lymph node metastasis were significantly linked to a higher expression of RIPK4 (p < 0.05). Overexpression of EZH2 was found in 30 patients (76.9%) and was associated with FIGO stage, histological type, and lymph node metastasis (p < 0.05). In conclusion, our data suggest that RIPK4/EZH2 markers might be used as potential predictors of prognosis in cervical cancer.

摘要

对特定基因的研究将建立更有用的生物标志物,用于准确检测和管理妇科癌症,尤其是宫颈癌患者(CCP)。本研究的目的是评估RIPK4和EZH2信使核糖核酸(RIPK4和EZH2 mRNA)在CCP中的表达水平。采用免疫组织化学和qRT-PCR方法测定组织中RIPK4和EZH2的表达。使用Fisher精确检验分析RIPK4和EZH2 mRNA与临床和病理参数的相关性。与配对的相邻正常组织相比,肿瘤组织中RIPK4的mRNA水平显著上调(4.10±0.89对1.5±0.82;p=0.021)。与正常组织相比,癌组织中EZH2 mRNA增加(3.54±0.71对1.2±0.65;p=0.003)。25例患者(64.1%)观察到RIPK4高表达,14例(35.9%)观察到低表达。此外,RIPK4在配对的相邻正常组织中过表达(p=0.004)。国际妇产科联盟(FIGO)分期和淋巴结转移与RIPK4的高表达显著相关(p<0.05)。30例患者(76.9%)发现EZH2过表达,且与FIGO分期、组织学类型和淋巴结转移相关(p<0.05)。总之,我们的数据表明,RIPK4/EZH2标志物可能作为宫颈癌预后的潜在预测指标。

https://cdn.ncbi.nlm.nih.gov/pmc/blobs/431b/7841057/b71aef153361/OR-25-495-g001.jpg

文献AI研究员

20分钟写一篇综述,助力文献阅读效率提升50倍。

立即体验

用中文搜PubMed

大模型驱动的PubMed中文搜索引擎

马上搜索

文档翻译

学术文献翻译模型,支持多种主流文档格式。

立即体验