Uematsu Keiji, Okumura Fumihiko, Tonogai Syunsuke, Joo-Okumura Akiko, Alemayehu Dawit Hailu, Nishikimi Akihiko, Fukui Yoshinori, Nakatsukasa Kunio, Kamura Takumi
Division of Biological Science, Graduate School of Science, Nagoya University, Aichi 464-8602, Japan.
Division of Biological Science, Graduate School of Science, Nagoya University, Aichi 464-8602, Japan
J Cell Biol. 2016 Oct 10;215(1):95-106. doi: 10.1083/jcb.201603062. Epub 2016 Oct 3.
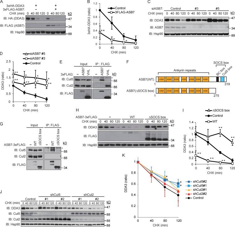
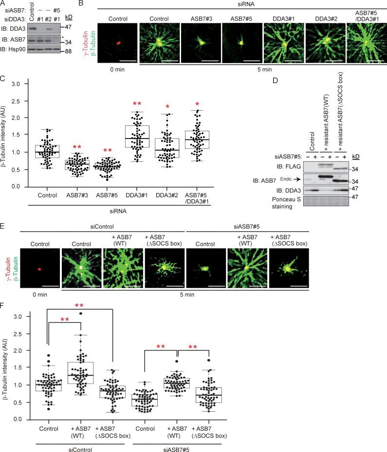
Proper dynamic regulation of the spindle is essential for successful cell division. However, the molecular mechanisms that regulate spindle dynamics in mitosis are not fully understood. In this study, we show that Cullin 5-interacting suppressor of cytokine signaling box protein ASB7 ubiquitinates DDA3, a regulator of spindle dynamics, thereby targeting it for proteasomal degradation. The presence of microtubules (MTs) prevented the ASB7-DDA3 interaction, thus stabilizing DDA3. Knockdown of ASB7 decreased MT polymerization and increased the proportion of cells with unaligned chromosomes, and this phenotype was rescued by deletion of DDA3. Collectively, these data indicate that ASB7 plays a crucial role in regulating spindle dynamics and genome integrity by controlling the expression of DDA3.
纺锤体的适当动态调节对于成功的细胞分裂至关重要。然而,有丝分裂中调节纺锤体动力学的分子机制尚未完全了解。在本研究中,我们表明细胞因子信号盒蛋白ASB7的Cullin 5相互作用抑制因子泛素化DDA3(一种纺锤体动力学调节因子),从而将其靶向蛋白酶体降解。微管(MTs)的存在阻止了ASB7-DDA3相互作用,从而稳定了DDA3。敲低ASB7会降低MT聚合,并增加染色体未对齐细胞的比例,而这种表型可通过缺失DDA3来挽救。总体而言,这些数据表明ASB7通过控制DDA3的表达在调节纺锤体动力学和基因组完整性方面发挥关键作用。