Suppr超能文献

富血小板纤维蛋白促进牙龈伤口上皮化的临床和组织学评估

Clinical and Histologic Evaluation of Platelet-Rich Fibrin Accelerated Epithelization of Gingival Wound.

作者信息

Bansal Mansi, Kumar Ashish, Puri Komal, Khatri Manish, Gupta Geeti, Vij Hitesh

机构信息

Department of Periodontology, Institute of Dental Studies and Technologies, Modinagar, Uttar Pradesh, India.

Department of Oral Pathology, Institute of Dental Studies and Technologies, Modinagar, Uttar Pradesh, India.

出版信息

J Cutan Aesthet Surg. 2016 Jul-Sep;9(3):196-200. doi: 10.4103/0974-2077.191647.

Abstract

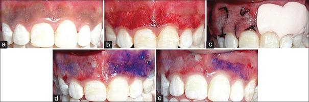
The foremost indication for gingival depigmentation is patient demand for improved aesthetics. In most cases after the removal of pigmented layer, the area is covered with periodontal packs. These dressings have no curative properties. They only minimise the likelihood of surface trauma during mastication. However, platelet-rich fibrin (PRF) accelerates wound healing by effective neovascularisation and promoting fast cicatricial tissue remodelling. In the present split mouth study, PRF membrane was applied in the first quadrant and non-eugenol dressing (Coe-Pack) in the second quadrant after depigmentation. Clinical evaluation of epithelization with toluidine blue revealed that PRF treated sites stained substantially less indicating better wound healing as compared to Coe-Pack sites, which appeared more erythematous after 5 days. The histologic evaluation also revealed greater inflammatory cell infiltrate on Coe-Pack sites as compared to PRF. Thus, PRF membrane as a periodontal dressing is a successful approach to protect the raw wound area of the depigmented site to reduce healing time and patient discomfort.

摘要

牙龈色素沉着去除的首要指征是患者对改善美观的需求。在大多数情况下,去除色素层后,该区域会覆盖牙周敷料。这些敷料没有治疗作用。它们只是将咀嚼过程中表面创伤的可能性降至最低。然而,富血小板纤维蛋白(PRF)通过有效的新生血管形成和促进快速的瘢痕组织重塑来加速伤口愈合。在目前的双侧对照研究中,色素沉着去除后,在第一象限应用PRF膜,在第二象限应用非丁香酚敷料(Coe-Pack)。用甲苯胺蓝对上皮化进行临床评估显示,与Coe-Pack部位相比,PRF处理部位染色明显较少,表明伤口愈合更好,Coe-Pack部位在5天后出现更明显的红斑。组织学评估还显示,与PRF相比,Coe-Pack部位有更多的炎性细胞浸润。因此,PRF膜作为一种牙周敷料是保护色素沉着去除部位的创面以减少愈合时间和患者不适的成功方法。

https://cdn.ncbi.nlm.nih.gov/pmc/blobs/0a04/5064686/d654486c9b67/JCAS-9-196-g001.jpg

相似文献

1
Clinical and Histologic Evaluation of Platelet-Rich Fibrin Accelerated Epithelization of Gingival Wound.
J Cutan Aesthet Surg. 2016 Jul-Sep;9(3):196-200. doi: 10.4103/0974-2077.191647.
2
Clinical and histological evaluation on application of platelet concentrates on depigmented gingival epithelium.
J Indian Soc Periodontol. 2018 Mar-Apr;22(2):150-157. doi: 10.4103/jisp.jisp_342_17.
4
Clinical and histological evaluation of concentrated growth factor membrane bandage after gingival depigmentation: A case series.
J Indian Soc Periodontol. 2022 Sep-Oct;26(5):501-506. doi: 10.4103/jisp.jisp_405_21. Epub 2022 Sep 1.
5
Comparative analysis of platelet-rich fibrin membrane and 0.2% hyaluronic acid gel on healing following gingival depigmentation procedure.
J Indian Soc Periodontol. 2023 Nov-Dec;27(6):636-641. doi: 10.4103/jisp.jisp_291_22. Epub 2024 Jan 24.
6
Platelet-rich fibrin as an adjunct to palatal wound healing after harvesting a free gingival graft: A case series.
J Indian Soc Periodontol. 2014 May;18(3):399-402. doi: 10.4103/0972-124X.134591.
7
Comparative study of the effect of BlueM active oxygen gel and coe-pack dressing on postoperative surgical depigmentation healing.
Saudi Dent J. 2022 May;34(4):328-334. doi: 10.1016/j.sdentj.2022.04.005. Epub 2022 Apr 21.
10
[The use of platelet-rich fibrin membrane in gingival recession treatment].
Srp Arh Celok Lek. 2010 Jan-Feb;138(1-2):11-8. doi: 10.2298/sarh1002011a.

引用本文的文献

2
Comparative analysis of platelet-rich fibrin membrane and 0.2% hyaluronic acid gel on healing following gingival depigmentation procedure.
J Indian Soc Periodontol. 2023 Nov-Dec;27(6):636-641. doi: 10.4103/jisp.jisp_291_22. Epub 2024 Jan 24.
3
Assessment of clinical outcomes and patient response to gingival depigmentation using a scalpel, ceramic bur, and diode laser 980 nm.
Clin Oral Investig. 2023 Nov;27(11):6939-6950. doi: 10.1007/s00784-023-05310-w. Epub 2023 Oct 25.
4
Use of Injectable Platelet-Rich Fibrin Accompanied by Bone Graft in Socket Endurance: A Radiographic and Histological Study.
Cureus. 2023 Oct 12;15(10):e46909. doi: 10.7759/cureus.46909. eCollection 2023 Oct.
6
Clinical and histological evaluation of concentrated growth factor membrane bandage after gingival depigmentation: A case series.
J Indian Soc Periodontol. 2022 Sep-Oct;26(5):501-506. doi: 10.4103/jisp.jisp_405_21. Epub 2022 Sep 1.
8
Management of recurrent pyogenic granuloma with platelet-rich fibrin membrane.
J Indian Soc Periodontol. 2018 Jul-Aug;22(4):360-364. doi: 10.4103/jisp.jisp_86_18.
9
Clinical and histological evaluation on application of platelet concentrates on depigmented gingival epithelium.
J Indian Soc Periodontol. 2018 Mar-Apr;22(2):150-157. doi: 10.4103/jisp.jisp_342_17.

本文引用的文献

1
In vitro effects of Choukroun's PRF (platelet-rich fibrin) on human gingival fibroblasts, dermal prekeratinocytes, preadipocytes, and maxillofacial osteoblasts in primary cultures.
Oral Surg Oral Med Oral Pathol Oral Radiol Endod. 2009 Sep;108(3):341-52. doi: 10.1016/j.tripleo.2009.04.020. Epub 2009 Jul 9.
2
Platelet-rich plasma and platelet-rich fibrin in human cell culture.
Oral Surg Oral Med Oral Pathol Oral Radiol Endod. 2009 Jul;108(1):48-55. doi: 10.1016/j.tripleo.2009.02.007. Epub 2009 May 17.
3
Platelet-rich fibrin (PRF): a second-generation platelet concentrate. Part IV: clinical effects on tissue healing.
Oral Surg Oral Med Oral Pathol Oral Radiol Endod. 2006 Mar;101(3):e56-60. doi: 10.1016/j.tripleo.2005.07.011.
4
Platelet-rich fibrin (PRF): a second-generation platelet concentrate. Part I: technological concepts and evolution.
Oral Surg Oral Med Oral Pathol Oral Radiol Endod. 2006 Mar;101(3):e37-44. doi: 10.1016/j.tripleo.2005.07.008. Epub 2006 Jan 19.
6
Role of fibrin matrix in angiogenesis.
Ann N Y Acad Sci. 2001;936:426-37. doi: 10.1111/j.1749-6632.2001.tb03526.x.
7
Fibrin and wound healing.
Ann N Y Acad Sci. 2001;936:355-67. doi: 10.1111/j.1749-6632.2001.tb03522.x.
8
The structure and biological features of fibrinogen and fibrin.
Ann N Y Acad Sci. 2001;936:11-30. doi: 10.1111/j.1749-6632.2001.tb03491.x.

文献AI研究员

20分钟写一篇综述,助力文献阅读效率提升50倍。

立即体验

用中文搜PubMed

大模型驱动的PubMed中文搜索引擎

马上搜索

文档翻译

学术文献翻译模型,支持多种主流文档格式。

立即体验