Suppr超能文献

通过全转录组测序鉴定新型滤泡树突状细胞肉瘤标志物FDCSP和SRGN

Identification of novel follicular dendritic cell sarcoma markers, FDCSP and SRGN, by whole transcriptome sequencing.

作者信息

Lorenzi Luisa, Döring Claudia, Rausch Tobias, Benes Vladimir, Lonardi Silvia, Bugatti Mattia, Campo Elias, Cabeçadas José, Simonitsch-Klupp Ingrid, Borges Anita, Mehta Jay, Agostinelli Claudio, Pileri Stefano Aldo, Facchetti Fabio, Hansmann Martin-Leo, Hartmann Sylvia

机构信息

Pathology Unit, Department of Molecular and Translational Medicine, University of Brescia, Brescia, Italy.

Dr. Senckenberg Institute of Pathology, Goethe University, Frankfurt am Main, Germany.

出版信息

Oncotarget. 2017 Mar 7;8(10):16463-16472. doi: 10.18632/oncotarget.14864.

Abstract

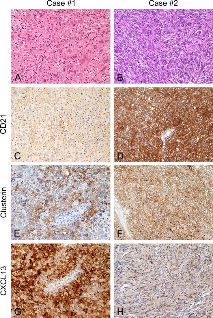
Follicular dendritic cell (FDC)-sarcoma is a rare neoplasm with morphologic and phenotypic features of FDCs. It shows an extremely heterogeneous morphology, therefore, its diagnosis relys on the phenotype of tumor cells. Aim of the present study was the identification of new specific markers for FDC-sarcoma by whole transcriptome sequencing (WTS). Candidate markers were selected based on gene expression level and biological function. Immunohistochemistry was performed on reactive tonsils, on 22 cases of FDC-sarcomas and 214 control cases including 114 carcinomas, 87 soft tissue tumors, 5 melanomas, 5 thymomas and 3 interdigitating dendritic cell sarcomas. FDC secreted protein (FDCSP) and Serglycin (SRGN) proved to be specific markers of FDC and related tumor. They showed better specificity and sensitivity values than some well known markers used in FDC sarcoma diagnosis (specificity: 98.6%, and 100%, respectively; sensitivity: 72.73% and 68.18%, respectively). In our cohorts CXCL13, CD21, CD35, FDCSP and SRGN were the best markers for FDC-sarcoma diagnosis and could discriminate 21/22 FDC sarcomas from other mesenchymal tumors by linear discriminant analysis. In summary, by WTS we identified two novel FDC markers and by the analysis of a wide cohort of cases and controls we propose an efficient marker panel for the diagnosis of this rare and enigmatic tumor.

摘要

滤泡树突状细胞(FDC)肉瘤是一种罕见的肿瘤,具有FDC的形态学和表型特征。它表现出极其异质性的形态,因此,其诊断依赖于肿瘤细胞的表型。本研究的目的是通过全转录组测序(WTS)鉴定FDC肉瘤的新的特异性标志物。基于基因表达水平和生物学功能选择候选标志物。对反应性扁桃体、22例FDC肉瘤及214例对照病例进行免疫组织化学检测,对照病例包括114例癌、87例软组织肿瘤、5例黑色素瘤、5例胸腺瘤和3例指状突树突状细胞肉瘤。FDC分泌蛋白(FDCSP)和丝甘蛋白聚糖(SRGN)被证明是FDC及相关肿瘤的特异性标志物。它们显示出比FDC肉瘤诊断中使用的一些知名标志物更好的特异性和敏感性值(特异性分别为98.6%和100%;敏感性分别为72.73%和68.18%)。在我们的队列中,CXCL13、CD21、CD35、FDCSP和SRGN是FDC肉瘤诊断的最佳标志物,通过线性判别分析可将21/22例FDC肉瘤与其他间叶组织肿瘤区分开来。总之,通过WTS我们鉴定出两种新的FDC标志物,并且通过对大量病例和对照的分析,我们提出了一个有效的标志物组合用于诊断这种罕见且神秘莫测的肿瘤。

https://cdn.ncbi.nlm.nih.gov/pmc/blobs/b22c/5369977/58dfc3c2ad93/oncotarget-08-16463-g001.jpg

文献AI研究员

20分钟写一篇综述,助力文献阅读效率提升50倍。

立即体验

用中文搜PubMed

大模型驱动的PubMed中文搜索引擎

马上搜索

文档翻译

学术文献翻译模型,支持多种主流文档格式。

立即体验