Suppr超能文献

一名原发性胆汁性肝硬化的肝硬化患者发生自发性脾梗死。

Spontaneous Splenic Infarcts in a Cirrhotic Patient with Primary Biliary Cirrhosis.

作者信息

Nehme Fredy, Rowe Kyle, Haris Ahmad, Nassif Imad

机构信息

Department of Internal Medicine, Kansas University School of Medicine, Wichita, KS, USA.

出版信息

Case Rep Gastroenterol. 2017 Jan 31;11(1):54-58. doi: 10.1159/000456604. eCollection 2017 Jan-Apr.

Abstract

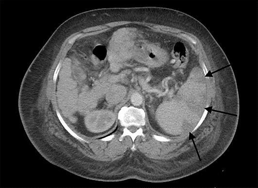
Spontaneous splenic infarction has been rarely reported as a complication of cirrhosis and portal hypertension. We describe the case of a 67-year-old female with past medical history of primary biliary cirrhosis presenting for a 1-day history of left upper quadrant pain. Investigations were in favor of splenic infarcts secondary to portal hypertension. The patient improved with conservative management and no recurrence was noted on further follow-up. Splenic infarction must be kept in mind when a patient with cirrhosis presents with left upper quadrant abdominal pain without a clear source.

摘要

自发性脾梗死作为肝硬化和门静脉高压的一种并发症鲜有报道。我们描述了一例67岁女性患者,其有原发性胆汁性肝硬化病史,因左上腹疼痛1天前来就诊。检查结果支持门静脉高压继发脾梗死。患者经保守治疗后病情好转,进一步随访未发现复发。当肝硬化患者出现左上腹腹痛且病因不明时,必须考虑到脾梗死的可能。

https://cdn.ncbi.nlm.nih.gov/pmc/blobs/9728/5301108/1710e0ec0998/crg-0011-0054-g01.jpg

文献AI研究员

20分钟写一篇综述,助力文献阅读效率提升50倍。

立即体验

用中文搜PubMed

大模型驱动的PubMed中文搜索引擎

马上搜索

文档翻译

学术文献翻译模型,支持多种主流文档格式。

立即体验