Suppr超能文献

变应性气道炎症对甲型流感病毒感染小鼠模型肺部病理的影响。

Impacts of allergic airway inflammation on lung pathology in a mouse model of influenza A virus infection.

作者信息

Kawaguchi Akira, Suzuki Tadaki, Ohara Yuki, Takahashi Kenta, Sato Yuko, Ainai Akira, Nagata Noriyo, Tashiro Masato, Hasegawa Hideki

机构信息

Department of Pathology, National Institute of Infectious Diseases, Shinjuku, Tokyo, Japan.

Center for Influenza Virus Research, National Institute of Infectious Diseases, Musashimurayama, Tokyo, Japan.

出版信息

PLoS One. 2017 Feb 28;12(2):e0173008. doi: 10.1371/journal.pone.0173008. eCollection 2017.

Abstract

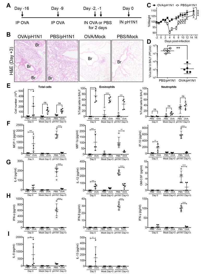
Influenza A virus is the respiratory pathogen responsible for influenza. Infection by the 2009 pandemic influenza A (H1N1) virus caused severe lower airway inflammation and pneumonia. Asthma is a chronic inflammatory disorder of the airways that affects the entire brachial tree, and was one of the commonest underlying medical conditions among patients hospitalized with the 2009 pandemic influenza virus infection. Although respiratory virus infections are the major causes of asthma exacerbation, the mechanism by which influenza exacerbates asthma is poorly understood. Animal models of disease comorbidity are crucial to understanding host-pathogen interactions and elucidating complex pathologies. Existing murine models of influenza virus infection in asthmatics show that asthmatic mice are highly resistant to influenza virus infection, which contradicts clinical observations in humans. Here, we developed a murine model of influenza virus/asthma comorbidity using NC/Nga mice, which are highly sensitive to allergic reactions such as atopic dermatitis and allergic airway inflammation. This model was then used to examine the impact of allergic airway inflammation on lung pathology in the 2009 pandemic influenza virus infected mice. The results showed that induction of acute allergic airway inflammation in pre-existing influenza virus infection had additive effects on exacerbation of lung pathology, which mirrors findings in human epidemiological studies. In contrast, pre-existing allergic airway inflammation protected from subsequent influenza virus infection, which was compatible with those of previous murine models of influenza virus infection in asthmatic mice. These variable outcomes of this murine model indicate that the temporal relation between allergic airway inflammation and influenza virus infection might play a critical role in asthma and influenza comorbidity. Thus, this murine model will further our understanding of how influenza virus infection affects an asthmatic host and may aid the development of strategies to improve treatments and outcomes for asthmatics harboring influenza virus infection.

摘要

甲型流感病毒是引起流感的呼吸道病原体。2009年甲型H1N1大流行性流感病毒感染可导致严重的下呼吸道炎症和肺炎。哮喘是一种影响整个支气管树的气道慢性炎症性疾病,是2009年甲型H1N1大流行性流感病毒感染住院患者中最常见的基础疾病之一。虽然呼吸道病毒感染是哮喘加重的主要原因,但流感加重哮喘的机制尚不清楚。疾病共病的动物模型对于理解宿主-病原体相互作用和阐明复杂病理至关重要。现有的哮喘患者甲型流感病毒感染小鼠模型显示,哮喘小鼠对甲型流感病毒感染具有高度抗性,这与人类临床观察结果相矛盾。在此,我们利用对特应性皮炎和过敏性气道炎症等过敏反应高度敏感的NC/Nga小鼠,建立了甲型流感病毒/哮喘共病的小鼠模型。然后使用该模型研究过敏性气道炎症对2009年甲型H1N1大流行性流感病毒感染小鼠肺部病理的影响。结果表明,在预先存在的甲型流感病毒感染中诱导急性过敏性气道炎症对肺部病理加重具有累加效应,这与人类流行病学研究结果相符。相比之下,预先存在的过敏性气道炎症可预防随后的甲型流感病毒感染,这与先前哮喘小鼠甲型流感病毒感染的小鼠模型结果一致。该小鼠模型的这些不同结果表明,过敏性气道炎症与甲型流感病毒感染之间的时间关系可能在哮喘和流感共病中起关键作用。因此,该小鼠模型将加深我们对甲型流感病毒感染如何影响哮喘宿主的理解,并可能有助于制定策略以改善对感染甲型流感病毒的哮喘患者的治疗和预后。

https://cdn.ncbi.nlm.nih.gov/pmc/blobs/1561/5330494/46c2430cf534/pone.0173008.g001.jpg

相似文献

1
Impacts of allergic airway inflammation on lung pathology in a mouse model of influenza A virus infection.
PLoS One. 2017 Feb 28;12(2):e0173008. doi: 10.1371/journal.pone.0173008. eCollection 2017.
2
Influenza in Asthmatics: For Better or for Worse?
Front Immunol. 2018 Aug 10;9:1843. doi: 10.3389/fimmu.2018.01843. eCollection 2018.
4
T cells and ILC2s are major effector cells in influenza-induced exacerbation of allergic airway inflammation in mice.
Eur J Immunol. 2019 Jan;49(1):144-156. doi: 10.1002/eji.201747421. Epub 2018 Jun 11.
5
Asthma increases susceptibility to heterologous but not homologous secondary influenza.
J Virol. 2014 Aug;88(16):9166-81. doi: 10.1128/JVI.00265-14. Epub 2014 Jun 4.
6
The immune profile associated with acute allergic asthma accelerates clearance of influenza virus.
Immunol Cell Biol. 2014 May-Jun;92(5):449-59. doi: 10.1038/icb.2013.113. Epub 2014 Jan 28.
7
Cytokine profile of bronchoalveolar lavage fluid from a mouse model of bronchial asthma during seasonal H1N1 infection.
Cytokine. 2014 Oct;69(2):206-10. doi: 10.1016/j.cyto.2014.06.006. Epub 2014 Jul 6.
8
Pneumococcal pneumonia suppresses allergy development but preserves respiratory tolerance in mice.
Immunol Lett. 2015 Mar;164(1):44-52. doi: 10.1016/j.imlet.2014.12.001. Epub 2015 Jan 6.
9
Effect of Influenza Virus Infection in a Murine Model of Asthma.
Iran J Allergy Asthma Immunol. 2015 Aug;14(4):392-401.

引用本文的文献

3
Chronic allergic asthma induces T-cell exhaustion and impairs virus clearance in mice.
Respir Res. 2023 Jun 17;24(1):160. doi: 10.1186/s12931-023-02448-9.
4
Impact of Therapeutics on Unified Immunity During Allergic Asthma and Respiratory Infections.
Front Allergy. 2022 Mar 25;3:852067. doi: 10.3389/falgy.2022.852067. eCollection 2022.
5
A Narrative Review of Occupational Air Pollution and Respiratory Health in Farmworkers.
Int J Environ Res Public Health. 2021 Apr 13;18(8):4097. doi: 10.3390/ijerph18084097.
6
Bridging animal and clinical research during SARS-CoV-2 pandemic: A new-old challenge.
EBioMedicine. 2021 Apr;66:103291. doi: 10.1016/j.ebiom.2021.103291. Epub 2021 Apr 1.
7
9
Influenza in High-Risk Hosts-Lessons Learned from Animal Models.
Cold Spring Harb Perspect Med. 2020 Dec 1;10(12):a038604. doi: 10.1101/cshperspect.a038604.

本文引用的文献

1
Prevention of Influenza Virus-Induced Immunopathology by TGF-β Produced during Allergic Asthma.
PLoS Pathog. 2015 Sep 25;11(9):e1005180. doi: 10.1371/journal.ppat.1005180. eCollection 2015 Sep.
2
Host Adaptation and the Alteration of Viral Properties of the First Influenza A/H1N1pdm09 Virus Isolated in Japan.
PLoS One. 2015 Jun 16;10(6):e0130208. doi: 10.1371/journal.pone.0130208. eCollection 2015.
3
Lung remodeling in a mouse model of asthma involves a balance between TGF-β1 and BMP-7.
PLoS One. 2014 Apr 29;9(4):e95959. doi: 10.1371/journal.pone.0095959. eCollection 2014.
4
The immune profile associated with acute allergic asthma accelerates clearance of influenza virus.
Immunol Cell Biol. 2014 May-Jun;92(5):449-59. doi: 10.1038/icb.2013.113. Epub 2014 Jan 28.
5
Characterization of H7N9 influenza A viruses isolated from humans.
Nature. 2013 Sep 26;501(7468):551-5. doi: 10.1038/nature12392. Epub 2013 Jul 10.
7
Small-airways dysfunction associates with respiratory symptoms and clinical features of asthma: a systematic review.
J Allergy Clin Immunol. 2013 Mar;131(3):646-57. doi: 10.1016/j.jaci.2012.12.1567. Epub 2013 Feb 4.
8
The airway epithelium in asthma.
Nat Med. 2012 May 4;18(5):684-92. doi: 10.1038/nm.2737.
10
Risk factors for severe outcomes following 2009 influenza A (H1N1) infection: a global pooled analysis.
PLoS Med. 2011 Jul;8(7):e1001053. doi: 10.1371/journal.pmed.1001053. Epub 2011 Jul 5.

文献AI研究员

20分钟写一篇综述,助力文献阅读效率提升50倍。

立即体验

用中文搜PubMed

大模型驱动的PubMed中文搜索引擎

马上搜索

文档翻译

学术文献翻译模型,支持多种主流文档格式。

立即体验