Suppr超能文献

高迁移率族蛋白盒1通过Toll样受体4诱导主动脉瓣间质细胞钙化。

High mobility group box 1 induces calcification of aortic valve interstitial cells via toll-like receptor 4.

作者信息

Shen Wenjun, Zhou Jianqing, Wang Chaoyang, Xu Guangze, Wu Ying, Hu Zhaohui

机构信息

Ningbo Medical Treatment Center, Lihuili Hospital, Ningbo, Zhejiang 310041, P.R. China.

Department of Cardiovascular Disease, The Affiliated Tongji Hospital, Tongji University, Shanghai 210062, P.R. China.

出版信息

Mol Med Rep. 2017 May;15(5):2530-2536. doi: 10.3892/mmr.2017.6287. Epub 2017 Mar 3.

Abstract

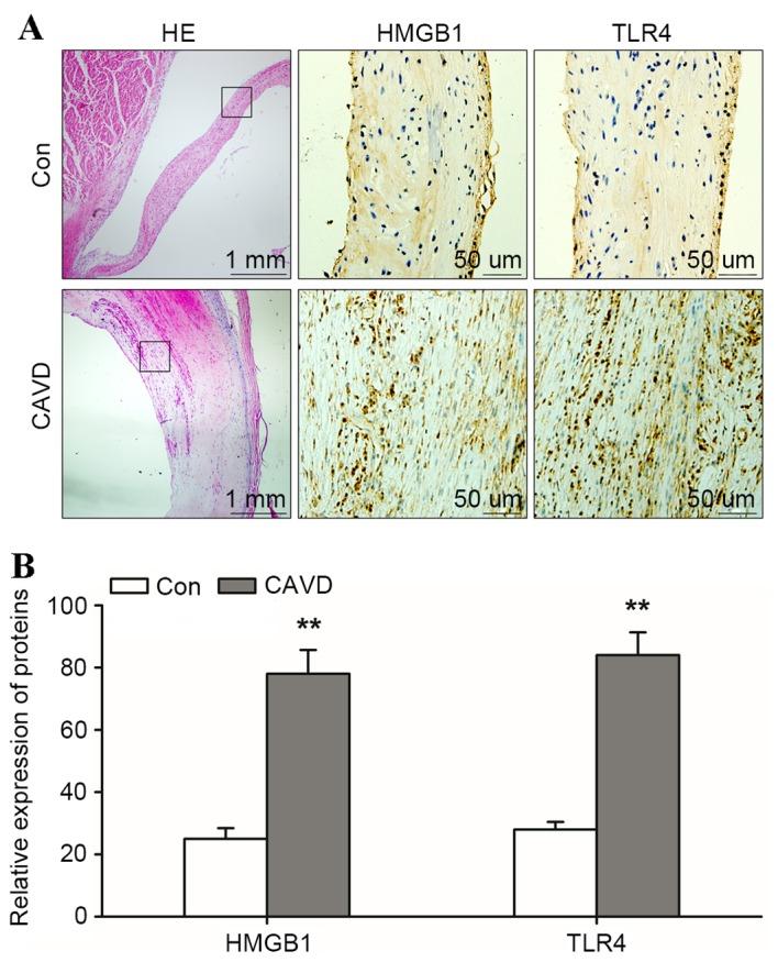
Chronic inflammation and the calcification of aortic valve interstitial cells (AVICs) are the primary etiologies of calcific aortic valve disease (CAVD). However, the underlying mechanism remains to be elucidated. The present study investigated the importance of high mobility group box 1 (HMGB1) via toll‑like receptor 4 (TLR4) for the regulation of inflammation and calcification in AVICs. It was determined that the expression levels of HMGB1 and TLR4 were increased in the calcific region of aortic valves with CAVD. In cultured primary AVICs from wild‑type mice, HMGB1 treatment demonstrated a dose-dependent increase in mineralization levels and osteogenic gene expression. These effects were significantly reduced in AVICs obtained from TLR4 knockout mice (TLR4‑/‑). In addition, calcification was inhibited by TLR4-specific antibodies in primary AVICs. HMGB1 induced the activation of p38 and nuclear factor-κB (NF-κB) in TLR4‑/‑ primary AVICs, and inhibited p38 and NF‑κB in wild‑type AVICs treated with TLR4‑specific antibodies. The present study demonstrated that TLR4 may function as an essential mediator of HMGB1‑induced calcification and in the activation of p38 and NF-κB.

摘要

慢性炎症和主动脉瓣间质细胞(AVICs)钙化是钙化性主动脉瓣疾病(CAVD)的主要病因。然而,其潜在机制仍有待阐明。本研究通过Toll样受体4(TLR4)探讨了高迁移率族蛋白B1(HMGB1)对AVICs炎症和钙化调节的重要性。研究发现,在患有CAVD的主动脉瓣钙化区域,HMGB1和TLR4的表达水平升高。在来自野生型小鼠的原代培养AVICs中,HMGB1处理显示矿化水平和成骨基因表达呈剂量依赖性增加。在从TLR4基因敲除小鼠(TLR4 -/-)获得的AVICs中,这些作用显著降低。此外,原代AVICs中的钙化被TLR4特异性抗体抑制。HMGB1在TLR4 -/-原代AVICs中诱导p38和核因子κB(NF-κB)激活,而在用TLR4特异性抗体处理的野生型AVICs中抑制p38和NF-κB。本研究表明,TLR4可能是HMGB1诱导钙化以及p38和NF-κB激活的重要介质。

https://cdn.ncbi.nlm.nih.gov/pmc/blobs/df46/5428883/34482df8fd3b/MMR-15-05-2530-g00.jpg

文献AI研究员

20分钟写一篇综述,助力文献阅读效率提升50倍。

立即体验

用中文搜PubMed

大模型驱动的PubMed中文搜索引擎

马上搜索

文档翻译

学术文献翻译模型,支持多种主流文档格式。

立即体验