Suppr超能文献

联合康复治疗强迫抓握后的改善与神经可塑性。

Improvement and Neuroplasticity after Combined Rehabilitation to Forced Grasping.

作者信息

Arima Michiko, Ogata Atsuko, Kawahira Kazumi, Shimodozono Megumi

机构信息

Department of Rehabilitation and Physical Medicine, Kagoshima University Graduate School of Medical and Dental Sciences, Kagoshima, Japan.

出版信息

Case Rep Neurol Med. 2017;2017:1028390. doi: 10.1155/2017/1028390. Epub 2017 Feb 6.

Abstract

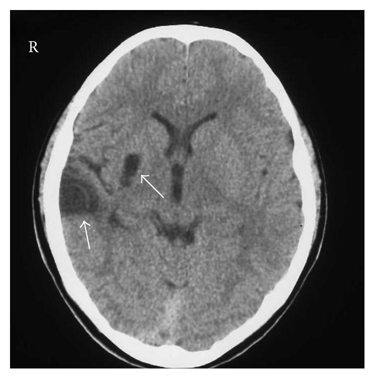
The grasp reflex is a distressing symptom but the need to treat or suppress it has rarely been discussed in the literature. We report the case of a 17-year-old man who had suffered cerebral infarction of the right putamen and temporal lobe 10 years previously. Forced grasping of the hemiparetic left upper limb was improved after a unique combined treatment. Botulinum toxin type A (BTX-A) was first injected into the left biceps, wrist flexor muscles, and finger flexor muscles. Forced grasping was reduced along with spasticity of the upper limb. In addition, repetitive facilitative exercise and object-related training were performed under low-amplitude continuous neuromuscular electrical stimulation. Since this 2-week treatment improved upper limb function, we compared brain activities, as measured by near-infrared spectroscopy during finger pinching, before and after the combined treatment. Brain activities in the ipsilesional sensorimotor cortex (SMC) and medial frontal cortex (MFC) during pinching under electrical stimulation after treatment were greater than those before. The results suggest that training under electrical stimulation after BTX-A treatment may modulate the activities of the ipsilesional SMC and MFC and lead to functional improvement of the affected upper limb with forced grasping.

摘要

抓握反射是一种令人苦恼的症状,但在文献中很少讨论治疗或抑制它的必要性。我们报告一例17岁男性病例,该患者10年前曾患右侧壳核和颞叶脑梗死。经过独特的联合治疗后,偏瘫的左上肢的强制抓握得到改善。首先将A型肉毒杆菌毒素(BTX-A)注射到左肱二头肌、腕屈肌和指屈肌。随着上肢痉挛的减轻,强制抓握也减少了。此外,在低强度连续神经肌肉电刺激下进行重复性促进运动和与物体相关的训练。由于这两周的治疗改善了上肢功能,我们比较了联合治疗前后通过近红外光谱测量的手指捏合时的脑活动。治疗后电刺激下捏合期间,患侧感觉运动皮层(SMC)和内侧额叶皮层(MFC)的脑活动大于治疗前。结果表明,BTX-A治疗后在电刺激下进行训练可能会调节患侧SMC和MFC的活动,并导致患侧上肢强制抓握功能的改善。

https://cdn.ncbi.nlm.nih.gov/pmc/blobs/1413/5317149/df72c72bdee0/CRINM2017-1028390.001.jpg

文献AI研究员

20分钟写一篇综述,助力文献阅读效率提升50倍。

立即体验

用中文搜PubMed

大模型驱动的PubMed中文搜索引擎

马上搜索

文档翻译

学术文献翻译模型,支持多种主流文档格式。

立即体验