Pereira Noella Maria Delia, Shah Ira
Department of Pediatrics, Bai Jerbai Wadia Hospital for Children, Mumbai, India.
SAGE Open Med Case Rep. 2017 Feb 27;5:2050313X17695998. doi: 10.1177/2050313X17695998. eCollection 2017.
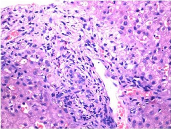
Cholestasis can occur in newborns due to infections. However, the manifestations of the underlying infections usually dominate the presentation. We present a 2-month-old infant who presented with jaundice and no fever or signs of systemic illness. Liver biopsy was suggestive of cholangitis. He was subsequently detected to have urinary tract infection with . The child was treated with appropriate antibiotics for 2 weeks following which the cholestasis resolved. Thus, neonatal cholestasis due to infections can also occur in the post-neonatal period without clinical manifestations of an underlying infection.
胆汁淤积可因感染在新生儿期发生。然而,潜在感染的表现通常在临床表现中占主导。我们报告一名2个月大的婴儿,其表现为黄疸,无发热或全身疾病体征。肝活检提示胆管炎。随后检测发现他患有尿路感染。该患儿接受了2周的适当抗生素治疗,之后胆汁淤积得到缓解。因此,由感染引起的新生儿胆汁淤积也可发生在新生儿后期,且无潜在感染的临床表现。