Suppr超能文献

乳腺癌转移至胃酷似原发性胃癌:一例报告

Breast cancer metastasizing to the stomach mimicking primary gastric cancer: A case report.

作者信息

Yim Kwangil, Ro Sang Mi, Lee Jieun

机构信息

Kwangil Yim, Department of Hospital Pathology, Seoul St. Mary's Hospital, College of Medicine, The Catholic University of Korea, Seoul 06591, South Korea.

出版信息

World J Gastroenterol. 2017 Mar 28;23(12):2251-2257. doi: 10.3748/wjg.v23.i12.2251.

Abstract

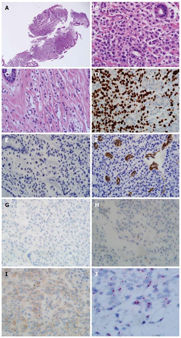
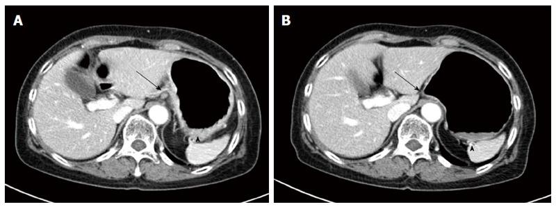
Breast cancer with stomach metastasis rare with an incidence of 1% or less among metastatic breast cancer patients. We experienced a case of breast cancer metastasizing to the stomach in 65-year-old female patient. She experienced dyspepsia and poor oral intake before visiting the clinic. Diffuse infiltration with nodular mucosal thickening of the stomach wall was observed, suggesting advanced gastric cancer based on gross endoscopic finding. Spread of poorly cohesive tumor cells in the gastric mucosa observed upon hematoxylin and eosin stain resembled signet ring cell carcinoma, but diffuse positive staining for GATA3 in immunohistochemical stain allowed for a conclusive diagnosis of breast cancer metastasizing to the stomach. Based on the final diagnosis, systemic chemotherapy was administered instead of primary surgical resection. After 2 cycles of docetaxel administration, she showed a partial response based on abdominal computed tomography scan. This case is an unusual presentation of breast cancer metastasizing to the gastrointestinal tract.

摘要

乳腺癌胃转移罕见,在转移性乳腺癌患者中的发生率为1%或更低。我们遇到一例65岁女性患者,乳腺癌转移至胃。她在就诊前出现消化不良和进食不佳。基于胃镜大体检查结果,观察到胃壁弥漫性浸润伴结节状黏膜增厚,提示进展期胃癌。苏木精-伊红染色显示胃黏膜中低黏附性肿瘤细胞扩散,类似印戒细胞癌,但免疫组化染色中GATA3弥漫性阳性染色可确诊为乳腺癌转移至胃。基于最终诊断,给予全身化疗而非一期手术切除。多西他赛给药2个周期后,根据腹部计算机断层扫描显示她有部分缓解。该病例是乳腺癌转移至胃肠道的不寻常表现。

https://cdn.ncbi.nlm.nih.gov/pmc/blobs/4655/5374138/24310c03c878/WJG-23-2251-g001.jpg

文献AI研究员

20分钟写一篇综述,助力文献阅读效率提升50倍。

立即体验

用中文搜PubMed

大模型驱动的PubMed中文搜索引擎

马上搜索

文档翻译

学术文献翻译模型,支持多种主流文档格式。

立即体验