Suppr超能文献

经多普勒评估的物理异常瘘管的价值:血流动力学指南和血管通路结局。

Value of Doppler evaluation of physically abnormal fistula: hemodynamic guidelines and access outcomes.

机构信息

Division of Nephrology, Department of Internal Medicine, Samsung Changwon Hospital, Sungkyunkwan University School of Medicine, Changwon, Korea.

出版信息

Korean J Intern Med. 2019 Jan;34(1):137-145. doi: 10.3904/kjim.2016.299. Epub 2017 Apr 18.

Abstract

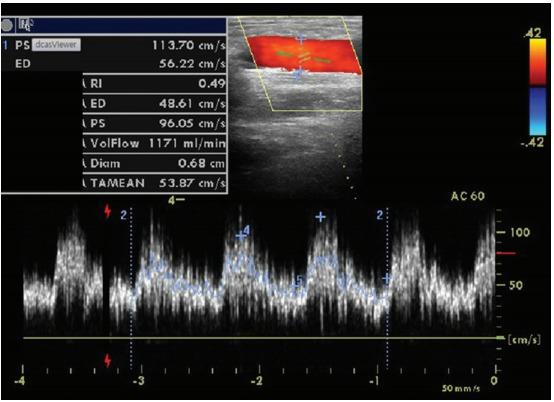
BACKGROUND/AIMS: The strategy of access care at out center involves the use of ultrasound (USG) in case of physical examination (PE) abnormality. USG determines the need of angiography. This study investigated the possible association between the need for percutaneous transluminal angioplasty (PTA) and hemodynamic parameters of USG. The study also assessed the effects of this monitoring strategy on outcomes in comparison with a historical control.

METHODS

A retrospective study of the medical records of 127 patients (65 PTA, 62 non-PTA) was conducted. Data were analyzed using logistic regression analysis and receiver operating characteristic curve. Fistula outcomes and intervention rates were calculated and compared with 100 historic controls.

RESULTS

Logistic regression analysis showed that brachial artery flow volume (FV) < 612.9 mL/min or brachial artery resistance index (RI) > 0.63 was independently associated with the need for PTA. This monitoring strategy showed an a reduction in thromboses (0.02 ± 0.11 events/arteriovenous fistula [AVF]-year vs. 0.07 ± 0.23 events/AVF-year, p = 0.046), reduction in central venous catheter placement (0.01 ± 0.05 events/AVF-year vs. 0.06 ± 0.22 events/AVF-year, p = 0.010), reduction in access loss (0.02 ± 0.13 events/AVF-year vs. 0.19 ± 0.34 events/AVF-year, p = 0.015), and increase in access selective repair (0.49 ± 0.66 events/AVF-year vs. 0.21 ± 0.69 events/AVF-year, p = 0.003), compared to historic control.

CONCLUSION

There was significant stenosis if brachial artery FV was < 612.9 mL/min or RI was > 0.63 for PE abnormality. These parameters should be used as markers for assessing PTA risk in hemodialysis patients. Addition of USG to determine the need of angiography after detection of PE abnormality leads to decreases in access thrombosis, catheter placement, and access loss despite increasing access intervention rates compared to clinical monitoring.

摘要

背景/目的:本中心的准入护理策略包括在体格检查(PE)异常时使用超声(USG)。USG 决定是否需要进行血管造影。本研究旨在探讨 USG 的血流动力学参数与经皮腔内血管成形术(PTA)需求之间的可能关联。该研究还评估了与历史对照相比,这种监测策略对结果的影响。

方法

对 127 例患者(65 例接受 PTA,62 例未接受 PTA)的病历进行回顾性研究。使用逻辑回归分析和受试者工作特征曲线分析数据。计算瘘管结局和干预率,并与 100 例历史对照进行比较。

结果

逻辑回归分析显示,肱动脉流量(FV)<612.9mL/min 或肱动脉阻力指数(RI)>0.63 与 PTA 需求独立相关。该监测策略显示血栓形成减少(0.02±0.11 事件/动静脉瘘[AVF]-年 vs. 0.07±0.23 事件/AVF-年,p=0.046)、中央静脉导管放置减少(0.01±0.05 事件/AVF-年 vs. 0.06±0.22 事件/AVF-年,p=0.010)、血管通路丧失减少(0.02±0.13 事件/AVF-年 vs. 0.19±0.34 事件/AVF-年,p=0.015)和血管通路选择性修复增加(0.49±0.66 事件/AVF-年 vs. 0.21±0.69 事件/AVF-年,p=0.003),与历史对照相比。

结论

PE 异常时,如果肱动脉 FV<612.9mL/min 或 RI>0.63,则存在显著狭窄。这些参数可作为评估血液透析患者 PTA 风险的标志物。与临床监测相比,在检测到 PE 异常后,通过 USG 确定是否需要血管造影可以减少血管通路血栓形成、导管放置和血管通路丧失,尽管血管通路干预率增加。

https://cdn.ncbi.nlm.nih.gov/pmc/blobs/c920/6325434/0043981f9e7f/kjim-2016-299f1.jpg

文献AI研究员

20分钟写一篇综述,助力文献阅读效率提升50倍。

立即体验

用中文搜PubMed

大模型驱动的PubMed中文搜索引擎

马上搜索

文档翻译

学术文献翻译模型,支持多种主流文档格式。

立即体验