Suppr超能文献

食品加工对黑麦产品特性及其体外消化的影响。

Impact of food processing on rye product properties and their in vitro digestion.

机构信息

Department of Molecular Sciences, Swedish University of Agricultural Sciences (SLU), Uppsala, Sweden.

Nutritional Epidemiology Unit, Institute of Environmental Medicine, Karolinska Insitutet, Stockholm, Sweden.

出版信息

Eur J Nutr. 2018 Jun;57(4):1651-1666. doi: 10.1007/s00394-017-1450-y. Epub 2017 Apr 17.

Abstract

PURPOSE

Rye products have been reported to elicit postprandial insulin and glucose responses which may be beneficial for prevention of type-2 diabetes. However, mechanisms underlying variations in responses related to processing techniques are not fully understood.

METHODS

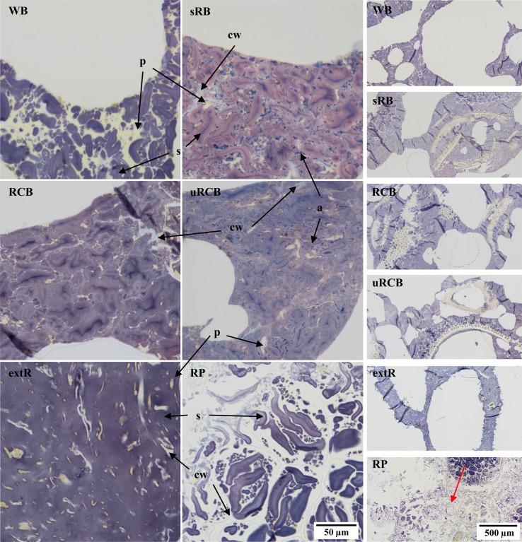
Five differently processed rye products (sourdough-fermented bread, fermented and unfermented crispbread, extrusion-cooked rye, and porridge) and refined wheat bread were characterised. Two in vitro methods, a dynamic method simulating digestion in the stomach and small intestine and a static method, simulating conditions in the stomach were used to determine viscosity development, structural changes and release of glucose during digestion.

RESULTS

Structural and compositional differences induced by processing influenced product digestion. Gastric disintegration and digesta particle size were related to characteristics of the starch/protein matrix, while digesta viscosity was reduced due to fibre degradation during fermentation. More cohesive boluses were associated with slower glucose release. Sourdough fermentation increased amylose leakage and appeared to inhibit starch hydrolysis despite low digesta viscosity and rapid disintegration.

CONCLUSIONS

The net release of glucose during digestion of foods is determined by several factors which may vary in their importance depending on product specific properties.

摘要

目的

黑麦产品被报道可引起餐后胰岛素和葡萄糖反应,这可能有益于预防 2 型糖尿病。然而,与加工技术相关的反应变化的机制尚不完全清楚。

方法

对五种不同加工的黑麦产品(酸面团发酵面包、发酵和未发酵脆饼、挤压蒸煮黑麦和粥)和精制小麦面包进行了表征。使用两种体外方法,一种模拟胃和小肠消化的动态方法和一种模拟胃条件的静态方法,来确定消化过程中的粘度发展、结构变化和葡萄糖释放。

结果

加工引起的结构和组成差异影响了产品的消化。胃的崩解和食糜粒径与淀粉/蛋白质基质的特性有关,而发酵过程中纤维降解导致食糜粘度降低。更具粘性的食团与较慢的葡萄糖释放有关。尽管消化液粘度低且快速崩解,但酸面团发酵增加了直链淀粉的渗漏,并似乎抑制了淀粉水解。

结论

食物消化过程中葡萄糖的净释放取决于几个因素,这些因素的重要性可能因产品的特性而异。

https://cdn.ncbi.nlm.nih.gov/pmc/blobs/6743/5959992/bf90d6e99319/394_2017_1450_Fig1_HTML.jpg

文献AI研究员

20分钟写一篇综述,助力文献阅读效率提升50倍。

立即体验

用中文搜PubMed

大模型驱动的PubMed中文搜索引擎

马上搜索

文档翻译

学术文献翻译模型,支持多种主流文档格式。

立即体验