Suppr超能文献

尼可地尔对部分单侧输尿管梗阻大鼠肾功能及组织病理学的影响。

Effects of nicorandil on renal function and histopathology in rats with partial unilateral ureteral obstruction.

作者信息

Ozturk Hayrettin, Firat Tulin, Tekce Buket Kin, Yilmaz Fahri, Ozturk Hulya

机构信息

Department of Pediatric Surgery, Abant Izzet Baysal University, Medical School, Bolu, Turkey.

Department of Histology and Embryology, Abant Izzet Baysal University, Medical School, Bolu, Turkey.

出版信息

Kaohsiung J Med Sci. 2017 May;33(5):236-245. doi: 10.1016/j.kjms.2017.03.003. Epub 2017 Mar 31.

Abstract

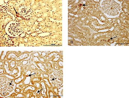
To evaluate the effects of nicorandil in a rat kidney model of partial unilateral ureteral obstruction (PUUO). Thirty male rats were randomly divided into three groups as follows: (1) Group 1 (Sham-control), ureters of the rats were manipulated but not ligated; (2) Group 2 (PUUO-untreated), PUUO was performed with two-thirds of the left ureter embedded in the psoas muscle; and (3) Group 3 (PUUO-nicorandil treated). After PUUO was established, nicorandil (15 mg/kg/day) was administered by gastric lavage for 21 days to determine its effects on PUUO-induced histopathological-, functional-, and oxidative stress-induced changes. The serum levels of blood urea nitrogen and creatinine were reduced in Group 3. The level of urinary albumin and the ratio of urinary protein/creatinine were increased in the kidneys of Group 2 but decreased in Group 3. Malondialdehyde value was decreased in Group 3 compared with Group 2. Antioxidant enzyme activities (catalase, superoxide dismutase, and glutathione peroxidase) were decreased in Group 2. Nicorandil treatment caused an increase in these enzyme activities. In Group 3, leukocyte infiltration and tubular dilatation were significantly reduced. Other parameters, such as degeneration of tubular epithelium and fibrosis, also showed a marked improvement in Group 3. Expression of inducible nitric oxide synthase in Group 2 and expression of endothelial nitric oxide synthase in Group 3 were significantly elevated. Nicorandil can inhibit renal tubular damage and tubulointerstitial fibrosis by reducing the effects of oxidative stress after PUUO.

摘要

评估尼可地尔在大鼠单侧输尿管部分梗阻(PUUO)肾脏模型中的作用。30只雄性大鼠随机分为以下三组:(1)第1组(假手术对照组),大鼠输尿管仅作处理但未结扎;(2)第2组(未治疗的PUUO组),将左输尿管的三分之二埋入腰大肌以造成PUUO;(3)第3组(尼可地尔治疗的PUUO组)。在建立PUUO模型后,通过灌胃给予尼可地尔(15毫克/千克/天),持续21天,以确定其对PUUO诱导的组织病理学、功能及氧化应激诱导变化的影响。第3组血清尿素氮和肌酐水平降低。第2组大鼠肾脏中尿白蛋白水平及尿蛋白/肌酐比值升高,而第3组降低。与第2组相比,第3组丙二醛值降低。第2组抗氧化酶(过氧化氢酶、超氧化物歧化酶和谷胱甘肽过氧化物酶)活性降低;尼可地尔治疗使这些酶活性增加。在第3组中,白细胞浸润和肾小管扩张明显减轻。其他参数,如肾小管上皮细胞变性和纤维化,在第3组中也有显著改善。第2组诱导型一氧化氮合酶表达及第3组内皮型一氧化氮合酶表达显著升高。尼可地尔可通过减轻PUUO后氧化应激效应来抑制肾小管损伤和肾小管间质纤维化。

https://cdn.ncbi.nlm.nih.gov/pmc/blobs/342a/11916401/74eaa1bae781/KJM2-33-236-g004.jpg

文献AI研究员

20分钟写一篇综述,助力文献阅读效率提升50倍。

立即体验

用中文搜PubMed

大模型驱动的PubMed中文搜索引擎

马上搜索

文档翻译

学术文献翻译模型,支持多种主流文档格式。

立即体验