Suppr超能文献

一只猫因毛发非自愿经腔植入导致肝外胆管梗阻。

Extrahepatic biliary duct obstruction as a result of involuntary transcavitary implantation of hair in a cat.

作者信息

Linton Michael, Buffa Eugene, Simon Adrian, Ashton Julie, McGregor Ross, Foster Darren J

机构信息

Eastside Veterinary Emergency and Specialists, Sydney, NSW, Australia.

Life on Four Legs, Sydney, NSW, Australia.

出版信息

JFMS Open Rep. 2015 Oct 12;1(2):2055116915610359. doi: 10.1177/2055116915610359. eCollection 2015 Jul-Dec.

Abstract

CASE SUMMARY

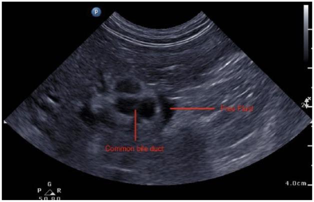
A 4-year-old male neutered domestic shorthair cat was referred for investigation of jaundice. The cat had a recent history of a skin laceration repair following trauma. Sequential serum biochemistry demonstrated increasing plasma bilirubin concentrations; abdominal ultrasonography revealed ongoing pancreatitis and apparent extrahepatic obstruction of the common bile duct. Exploratory laparotomy identified constriction of the common bile duct with foreign material (cat hair). The constricting band of hair was removed surgically; cholecystoduodenostomy was performed. Postsurgical quality of life is excellent with chronic treatment of tylosin, omeprazole and ursodeoxycholic acid.

RELEVANCE AND NOVEL INFORMATION

To our knowledge, this is the first reported case of extrahepatic biliary duct obstruction resulting from the intra-abdominal migration of a foreign body, in this case, hair shafts. The mechanism by which this occurred was likely a combination of physical constriction by the hair shafts and subsequent foreign body reaction surrounding this. This should be included in the differential diagnosis of a cat with jaundice.

摘要

病例摘要

一只4岁已绝育的雄性家养短毛猫因黄疸问题被转诊进行检查。这只猫近期有过外伤后皮肤撕裂伤修复的病史。连续的血清生化检查显示血浆胆红素浓度不断升高;腹部超声检查发现存在持续性胰腺炎以及胆总管明显的肝外梗阻。剖腹探查发现胆总管被异物(猫毛) constricted。手术切除了束发带;进行了胆囊十二指肠吻合术。术后通过长期使用泰乐菌素、奥美拉唑和熊去氧胆酸治疗,生活质量良好。

相关性及新信息

据我们所知,这是首例报道的因异物(在此病例中为毛干)腹腔内迁移导致肝外胆管梗阻的病例。发生这种情况的机制可能是毛干的物理 constriction 以及随后围绕其的异物反应共同作用的结果。这应纳入黄疸猫的鉴别诊断中。

https://cdn.ncbi.nlm.nih.gov/pmc/blobs/38b7/5361986/c5b982afdfff/10.1177_2055116915610359-fig1.jpg

文献AI研究员

20分钟写一篇综述,助力文献阅读效率提升50倍。

立即体验

用中文搜PubMed

大模型驱动的PubMed中文搜索引擎

马上搜索

文档翻译

学术文献翻译模型,支持多种主流文档格式。

立即体验