Kwon Soon-Hyo, Choi Hye-Ryung, Kang Youn-A, Park Kyoung-Chan
College of Medicine, Seoul National University, Seoul National University Bundang Hospital, Gyeonggi 13620, Korea.
Int J Mol Sci. 2017 Jun 7;18(6):1213. doi: 10.3390/ijms18061213.
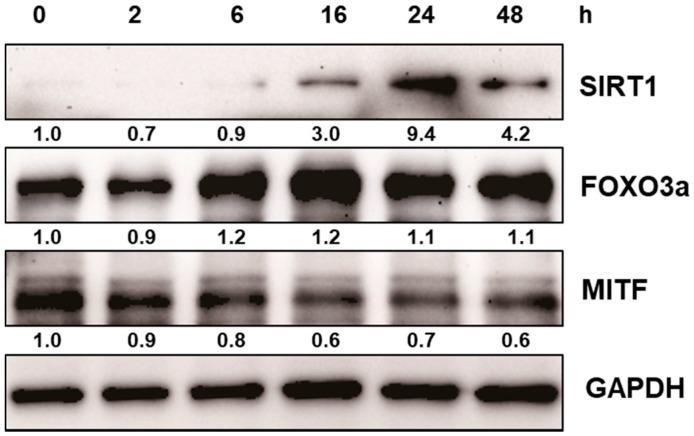
Resveratrol exhibits not only anti-melanogenic property by inhibiting microphthalmia-associated transcription factor (MITF), but also anti-aging property by activating sirtuin-1 (SIRT1). In this study, the relationship between depigmenting effect of resveratrol and SIRT1/forkhead box O (FOXO) 3a activation and was investigated. Resveratrol suppressed melanogenesis by the downregulation of MITF and tyrosinase via ERK pathway. Results showed that the expression of both SIRT1 and FOXO3a were increased. It is reported that SIRT1 is critical regulator of FOXO-mediated transcription in response to oxidative stress. However in our study, FOXO3a activation appeared earlier than that of SIRT1. Furthermore, the effect of resveratrol on the levels of MITF and tyrosinase was suppressed when melanocytes were pre-treated with SP600125 (JNK inhibitor). However, pre-treatment with SIRT1 inhibitor (EX527, or sirtinol) did not affect the levels of MITF and tyrosinase. Therefore, resveratrol inhibits melanogenesis through the activation of FOXO3a but not by the activation of SIRT1. Although SIRT1 activation by resveratrol is a well-known mechanism of resveratrol-induced antiaging effects, our study showed that not SIRT1 but FOXO3a activation is involved in depigmenting effects of resveratrol.
白藜芦醇不仅通过抑制小眼畸形相关转录因子(MITF)展现出抗黑素生成特性,还通过激活沉默调节蛋白1(SIRT1)表现出抗衰老特性。在本研究中,对白藜芦醇的色素脱失作用与SIRT1/叉头框O(FOXO)3a激活之间的关系进行了研究。白藜芦醇通过细胞外调节蛋白激酶(ERK)途径下调MITF和酪氨酸酶,从而抑制黑素生成。结果显示,SIRT1和FOXO3a的表达均增加。据报道,SIRT1是FOXO介导的应对氧化应激转录的关键调节因子。然而在我们的研究中,FOXO3a的激活比SIRT1更早出现。此外,当用SP600125(JNK抑制剂)预处理黑素细胞时,白藜芦醇对MITF和酪氨酸酶水平的影响受到抑制。但是,用SIRT1抑制剂(EX527或西曲瑞克)预处理并不影响MITF和酪氨酸酶的水平。因此,白藜芦醇通过激活FOXO3a而非SIRT1来抑制黑素生成。尽管白藜芦醇激活SIRT1是其诱导抗衰老作用的一个众所周知的机制,但我们的研究表明,参与白藜芦醇色素脱失作用的是FOXO3a的激活而非SIRT1的激活。