Laarakker Avra S, Nakhla Jonathan, Kobets Andrew, Abbott Rick
Department of Neurosurgery, Ruth and Bruce Rappaport Faculty of Medicine, Technion-Israel Institute of Technology, Haifa, Israel.
Department of Neurosurgery, Montefiore Medical Center, Bronx, New York, USA.
Surg Neurol Int. 2017 May 26;8:86. doi: 10.4103/sni.sni_386_16. eCollection 2017.
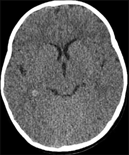
Choroid plexus tumors (CPT) in the pediatric population are usually discovered in symptomatic patients often with symptoms of increased intracranial pressure, with hydrocephalus as the most common presentation, along with seizures, subarachnoid hemorrhage, or focal neurological deficit. Most CPTs are found to be benign choroid plexus papillomas (CPP), whereas a small number are intermediate and malignant choroid plexus carcinomas (CPC). Total surgical resection is the established definitive treatment for symptomatic CPP.
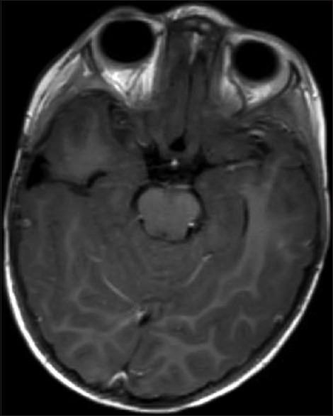
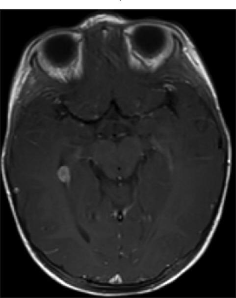
We describe a young female who was found to have an incidental CPT during workup for recent head trauma without neurological deficits or hydrocephalus. She underwent a surgical operation to remove the tumor successful, with 1-year follow-up showing no recurrence and normal developmental milestones.
This rare presentation of an asymptomatic CPT brings attention to the fact that there is no clear evidence for how or when to treat such patients. Because discovery of a CPT in an asymptomatic patient is uncommon, the treatment plan appears to be developed on a case-by-case basis. We hope to generate discussion for establishing an agreed upon treatment approach for CPTs in asymptomatic patients.