Suppr超能文献

非流行地区肺组织胞浆菌病合并支气管中心性肉芽肿病的罕见病例。

Rare case of pulmonary histoplasmosis complicated with bronchocentric granulomatosis in a non endemic area.

作者信息

Botsa Evanthia, Thanou Ioanna, Kabanarou Stamatina, Thanos Loukas

机构信息

First Pediatric Clinic, National and Kapodistrian University of Athens, Agia Sofia Children's Hospital, Thivon & Levadias, Goudi, Athens, Greece.

Department of Medical Imaging and Interventional Radiology, Sotiria General Hospital for Chest Diseases, Mesogeion Av. 152, PO, Athens 11527, Greece.

出版信息

Respir Med Case Rep. 2017 May 31;22:1-3. doi: 10.1016/j.rmcr.2017.05.011. eCollection 2017.

Abstract

BACKGROUND

Pulmonary histoplasmosis is a fungal infection caused by histoplasma capsulatum, rarely diagnosed in non endemic areas and/or immunocompromised patients. Complication of pulmonary histoplasmosis with bronchocentric granulomatosis is extremely rare.

CASE REPORT

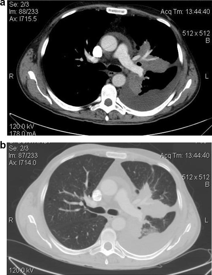
A 48-year-old man with prolonged fever and nausea was admitted to our hospital. Clinical examination revealed pathological auscultatory sounds to the left lung. Computed tomography was performed and revealed a large solid mass of the left upper lobe, limited pleural and pericardial effusion and calcified lymphadenopathy of mediastinum. A computed tomography guided core biopsy of the lung lesion was performed and three samples were obtained. Culture and polymerase chain reaction (PCR) revealed . Histological findings were compatible with bronchocentric granulomatosis. Extended laboratory investigation excluded immunosuppresion. Our patient although immunocompetent was diagnosed with chronic pulmonary histoplasmosis complicated with bronchocentric granulomatosis and treatment with antifungal medication and methylprednisoline started.

CONCLUSION

Description of a rare case of chronic pulmonary histoplasmosis in a non endemic area like Greece, with atypical radiological findings, complicated with bronchocentric granulomatosis.

摘要

背景

肺组织胞浆菌病是由荚膜组织胞浆菌引起的真菌感染,在非流行地区和/或免疫功能低下的患者中很少被诊断出来。肺组织胞浆菌病合并支气管中心性肉芽肿极为罕见。

病例报告

一名48岁长期发热、恶心的男性入住我院。临床检查发现左肺有病理听诊音。进行了计算机断层扫描,显示左上叶有一个大的实性肿块、局限性胸腔和心包积液以及纵隔钙化淋巴结病。对肺部病变进行了计算机断层扫描引导下的芯针活检,获取了三个样本。培养和聚合酶链反应(PCR)显示……组织学结果与支气管中心性肉芽肿相符。进一步的实验室检查排除了免疫抑制。我们的患者虽然免疫功能正常,但被诊断为慢性肺组织胞浆菌病合并支气管中心性肉芽肿,并开始使用抗真菌药物和甲泼尼龙进行治疗。

结论

描述了在希腊这样的非流行地区发生的一例罕见的慢性肺组织胞浆菌病病例,具有非典型的放射学表现,并合并支气管中心性肉芽肿。

https://cdn.ncbi.nlm.nih.gov/pmc/blobs/9e86/5458075/123b5e8a56d8/gr1.jpg

文献AI研究员

20分钟写一篇综述,助力文献阅读效率提升50倍。

立即体验

用中文搜PubMed

大模型驱动的PubMed中文搜索引擎

马上搜索

文档翻译

学术文献翻译模型,支持多种主流文档格式。

立即体验