Suppr超能文献

ADAMTS5 的缺失通过 CREB 信号增强棕色脂肪组织质量并促进白色脂肪组织的棕色化。

Loss of ADAMTS5 enhances brown adipose tissue mass and promotes browning of white adipose tissue via CREB signaling.

机构信息

Department of Cardiovascular Sciences, Center for Molecular and Vascular Biology, KU Leuven, B-3000 Leuven, Belgium.

Department of Cellular and Molecular Medicine, Laboratory of Protein Phosphorylation and Proteomics, KU Leuven, B-3000 Leuven, Belgium.

出版信息

Mol Metab. 2017 May 10;6(7):715-724. doi: 10.1016/j.molmet.2017.05.004. eCollection 2017 Jul.

Abstract

OBJECTIVE

A potential strategy to treat obesity - and the associated metabolic consequences - is to increase energy expenditure. This could be achieved by stimulating thermogenesis through activation of brown adipose tissue (BAT) and/or the induction of browning of white adipose tissue (WAT). Over the last years, it has become clear that several metalloproteinases play an important role in adipocyte biology. Here, we investigated the potential role of ADAMTS5.

METHODS

Mice deficient in ADAMTS5 () and wild-type () littermates were kept on a standard of Western-type diet for 15 weeks. Energy expenditure and heat production was followed by indirect calorimetry. To activate thermogenesis, mice were treated with the β3-adrenergic receptor (β-AR) agonist CL-316,243 or alternatively, exposed to cold for 2 weeks.

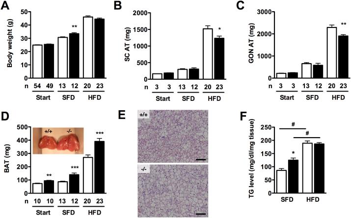
RESULTS

Compared to mice, mice have significantly more interscapular BAT and marked browning of their subcutaneous (SC) WAT. Thermogenic pathway analysis indicated, in the absence of ADAMTS5, enhanced β-AR signaling via activation of the cAMP response element-binding protein (CREB). Additional β-AR stimulation with CL-316,243 promoted browning of WAT in mice but had no additive effect in mice. However, cold exposure induced more pronounced browning of WAT in mice.

CONCLUSIONS

These data indicate that ADAMTS5 plays a functional role in development of BAT and browning of WAT. Hence, selective targeting of ADAMTS5 could provide a novel therapeutic strategy for treatment/prevention of obesity and metabolic diseases.

摘要

目的

治疗肥胖症及其相关代谢并发症的一种潜在策略是增加能量消耗。这可以通过激活棕色脂肪组织(BAT)和/或诱导白色脂肪组织(WAT)褐变来实现。近年来,人们已经清楚地认识到,几种金属蛋白酶在脂肪细胞生物学中起着重要作用。在这里,我们研究了 ADAMTS5 的潜在作用。

方法

将缺乏 ADAMTS5 的小鼠()和野生型()同窝仔鼠饲养在标准的西式饮食中 15 周。通过间接测热法监测能量消耗和产热。为了激活产热,用β3-肾上腺素能受体(β-AR)激动剂 CL-316,243 处理小鼠,或者将其暴露于寒冷环境中 2 周。

结果

与 相比, 小鼠的肩胛间 BAT 明显更多,其皮下(SC)WAT 明显褐变。在缺乏 ADAMTS5 的情况下,热生成途径分析表明,β-AR 信号通过激活 cAMP 反应元件结合蛋白(CREB)而得到增强。用 CL-316,243 进一步刺激β-AR 在 小鼠中促进了 WAT 的褐变,但在 小鼠中没有相加作用。然而,寒冷暴露在 小鼠中诱导了更明显的 WAT 褐变。

结论

这些数据表明,ADAMTS5 在 BAT 的发育和 WAT 的褐变中起着功能作用。因此,选择性靶向 ADAMTS5 可能为肥胖症和代谢性疾病的治疗/预防提供一种新的治疗策略。

https://cdn.ncbi.nlm.nih.gov/pmc/blobs/b366/5485238/5f68b3bee21f/gr1.jpg

文献检索

告别复杂PubMed语法,用中文像聊天一样搜索,搜遍4000万医学文献。AI智能推荐,让科研检索更轻松。

立即免费搜索

文件翻译

保留排版,准确专业,支持PDF/Word/PPT等文件格式,支持 12+语言互译。

免费翻译文档

深度研究

AI帮你快速写综述,25分钟生成高质量综述,智能提取关键信息,辅助科研写作。

立即免费体验