Hwang Jun Kyu, Kim Kyung Hyun, Kim Ji Sup, Ahn Sung Jun, Kuh Sung Uk
Department of Neurosurgery, Gangnam Severance Hospital, Spine and Spinal Cord Institute, Yonsei University College of Medicine, Seoul, Korea.
Department of Pathology, Gangnam Severance Hospital, Spine and Spinal Cord Institute, Yonsei University College of Medicine, Seoul, Korea.
Korean J Spine. 2017 Jun;14(2):53-56. doi: 10.14245/kjs.2017.14.2.53. Epub 2017 Jun 30.
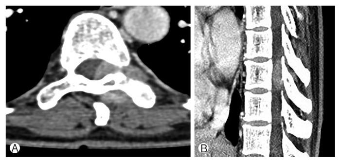
A 54-year-old woman visited Gangnam Severance Hospital for left side flank pain. She had a history of total removal of malignant melanoma on the left eye ball 20 years prior. No evaluation had been performed since then. A paravertebral mass at thoracic ninth level (T9) was discovered on spinal magnetic resonance imaging, and pathology confirmed malignant melanoma. Following positron emission tomography-computed tomography, no other metastasis was discovered. After removal of the paravertebral mass, palliative chemotherapy (dacabarzine + tamoxifene) was administered in 3 cycles over 2 months. Radiotherapy with simultaneous integrated boost technique was performed at 4,350 cGy total over 15 days, 290 cGy per delivery, and was administered with the first cycle of palliative chemotherapy. Despite this treatment, multiple metastases developed throughout her body 7 months later, and the patient is continuing chemotherapy.
一名54岁女性因左侧胁腹疼痛就诊于江南severance医院。她20年前有左眼恶性黑色素瘤全切病史,此后未进行过评估。脊柱磁共振成像发现胸9(T9)水平的椎旁肿块,病理证实为恶性黑色素瘤。正电子发射断层扫描-计算机断层扫描检查后,未发现其他转移灶。切除椎旁肿块后,在2个月内分3个周期给予姑息化疗(达卡巴嗪+他莫昔芬)。采用同步整合增量技术进行放疗,15天内总剂量达4350 cGy,每次290 cGy,与第一个周期的姑息化疗同时进行。尽管进行了这种治疗,但7个月后患者全身出现多处转移,目前仍在继续化疗。