Suppr超能文献

运动员腹股沟疝:动态超声的作用

Inguinal Hernia in Athletes: Role of Dynamic Ultrasound.

作者信息

Vasileff William Kelton, Nekhline Mikhail, Kolowich Patricia A, Talpos Gary B, Eyler Willam R, van Holsbeeck Marnix

机构信息

Department of Orthopaedics, The Ohio State University Wexner Medical Center, Columbus, Ohio.

Radiology Specialists of the Northwest, Portland, Oregon.

出版信息

Sports Health. 2017 Sep/Oct;9(5):414-421. doi: 10.1177/1941738117717009. Epub 2017 Jul 21.

Abstract

BACKGROUND

Inguinal hernia is a commonly encountered cause of pain in athletes. Because of the anatomic complexity, lack of standard imaging, and the dynamic condition, there is no unified opinion explaining its underlying pathology.

HYPOTHESIS

Athletes with persistent groin pain would have a high prevalence of inguinal hernia with dynamic ultrasound, and herniorrhaphy would successfully return athletes to activity.

STUDY DESIGN

Case-control study.

LEVEL OF EVIDENCE

Level 3.

METHODS

Forty-seven amateur and professional athletes with sports-related groin pain who underwent ultrasound were selected based on history and examination. Patients with prior groin surgery or hip pathology were excluded. Clinical and surgical documentation were correlated with imaging. The study group was compared with 41 age-matched asymptomatic athletes.

RESULTS

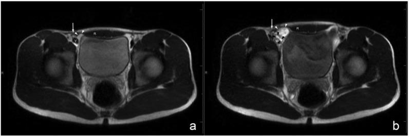
Ultrasound was positive for hernia with movement of bowel, bladder, or omental tissue anterior to the inferior epigastric vessels during Valsalva maneuver. The 47-patient symptomatic study group included 41 patients with direct inguinal hernias, 1 with indirect inguinal hernia, and 5 with negative ultrasound. Of 42 patients with hernia, 39 significantly improved with herniorrhaphy, 2 failed to improve after surgery and were diagnosed with adductor longus tears, and 1 improved with physical therapy. Five patients with negative ultrasound underwent magnetic resonance imaging and were diagnosed with hip labral tear or osteitis pubis. The 41-patient asymptomatic control group included 3 patients with direct inguinal hernias, 2 with indirect inguinal hernias, and 3 with femoral hernias.

CONCLUSION

Inguinal hernias are a major component of groin pain in athletes. Prevalence of direct inguinal hernia in symptomatic athletes was greater than that for controls ( P < 0.001). Surgery was successful in returning these athletes to sport: 39 of 42 (93%) athletes with groin pain and inguinal hernia became asymptomatic.

CLINICAL RELEVANCE

Persistent groin pain in the athlete may relate to inguinal hernia, which can be diagnosed with dynamic ultrasound imaging. Herniorrhaphy is successful at returning athletes to sports activity.

摘要

背景

腹股沟疝是运动员常见的疼痛原因。由于解剖结构复杂、缺乏标准成像以及病情动态变化,对于其潜在病理机制尚无统一观点。

假设

动态超声检查显示,持续性腹股沟疼痛的运动员腹股沟疝患病率较高,疝修补术可使运动员成功恢复运动。

研究设计

病例对照研究。

证据等级

3级。

方法

根据病史和体格检查,选择47例因运动相关腹股沟疼痛接受超声检查的业余和职业运动员。排除既往有腹股沟手术史或髋关节病变的患者。将临床和手术记录与影像学检查结果进行对比。将研究组与41例年龄匹配的无症状运动员进行比较。

结果

在瓦尔萨尔瓦动作期间,超声显示疝内容物(肠管、膀胱或网膜组织)在腹壁下血管前方移动,提示疝存在。47例有症状的研究组患者中,41例为腹股沟直疝,1例为腹股沟斜疝,5例超声检查结果为阴性。42例疝患者中,39例疝修补术后明显改善,2例术后未改善,诊断为内收长肌撕裂,1例经物理治疗后改善。5例超声检查结果为阴性的患者接受磁共振成像检查,诊断为髋关节盂唇撕裂或耻骨炎。41例无症状对照组患者中,3例为腹股沟直疝,2例为腹股沟斜疝,3例为股疝。

结论

腹股沟疝是运动员腹股沟疼痛的主要原因。有症状运动员中腹股沟直疝的患病率高于对照组(P < 0.001)。手术成功使这些运动员恢复运动:42例腹股沟疼痛且患有腹股沟疝的运动员中,39例(93%)术后无症状。

临床意义

运动员持续性腹股沟疼痛可能与腹股沟疝有关,动态超声成像可用于诊断。疝修补术可使运动员成功恢复运动。

https://cdn.ncbi.nlm.nih.gov/pmc/blobs/bbac/5582701/7bfdc3acc961/10.1177_1941738117717009-fig1.jpg

文献AI研究员

20分钟写一篇综述,助力文献阅读效率提升50倍。

立即体验

用中文搜PubMed

大模型驱动的PubMed中文搜索引擎

马上搜索

文档翻译

学术文献翻译模型,支持多种主流文档格式。

立即体验