Department of Radiology and Nuclear Medicine, Radboud University Medical Centre, Nijmegen, The Netherlands.
Sci Rep. 2017 Aug 3;7(1):7232. doi: 10.1038/s41598-017-07815-3.
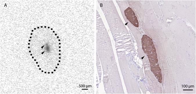
Pancreatic islet transplantation is a promising therapy for patients with type 1 diabetes. However, the duration of long-term graft survival is limited due to inflammatory as well as non-inflammatory processes and routine clinical tests are not suitable to monitor islet survival. In-exendin-SPECT (single photon emission computed tomography) is a promising method to non-invasively image islets after transplantation and has the potential to help improve the clinical outcome. Whether In-exendin-SPECT allows detecting small differences in beta-cell mass (BCM) and measuring the actual volume of islets that were successfully engrafted has yet to be demonstrated. Here, we evaluated the performance of In-exendin-SPECT using an intramuscular islet transplantation model in C3H mice. In vivo imaging of animals transplanted with 50, 100, 200, 400 and 800 islets revealed an excellent linear correlation between SPECT quantification of In-exendin uptake and insulin-positive area of islet transplants, demonstrating that In-exendin-SPECT specifically and accurately measures BCM. The high sensitivity of the method allowed measuring small differences in graft volumes, including grafts that contained less than 50 islets. The presented method is reliable, convenient and holds great potential for non-invasive monitoring of BCM after islet transplantation in humans.
胰岛移植是治疗 1 型糖尿病患者的一种有前途的疗法。然而,由于炎症和非炎症过程,长期移植物存活时间有限,常规临床检测不适于监测胰岛存活情况。In-exendin-SPECT(单光子发射计算机断层扫描)是一种有前途的方法,可在移植后对胰岛进行非侵入性成像,并且有可能有助于改善临床结果。In-exendin-SPECT 是否能够检测到β细胞质量(BCM)的微小差异并测量成功移植的胰岛的实际体积,这一点尚待证明。在这里,我们使用 C3H 小鼠的肌肉内胰岛移植模型评估了 In-exendin-SPECT 的性能。对移植了 50、100、200、400 和 800 个胰岛的动物进行体内成像,显示 In-exendin 摄取的 SPECT 定量与胰岛移植的胰岛素阳性面积之间存在极好的线性相关性,表明 In-exendin-SPECT 特异性且准确地测量了 BCM。该方法的高灵敏度允许测量移植物体积的微小差异,包括包含少于 50 个胰岛的移植物。该方法可靠、方便,对于人类胰岛移植后 BCM 的非侵入性监测具有很大的潜力。