Suppr超能文献

对通过功能和形态学MRI评估的127例经证实的肝细胞癌(HCC)的LI-RADS主要和辅助影像学特征进行批判性分析:亮点与阴影。

Critical analysis of the major and ancillary imaging features of LI-RADS on 127 proven HCCs evaluated with functional and morphological MRI: Lights and shadows.

作者信息

Granata Vincenza, Fusco Roberta, Avallone Antonio, Filice Francesco, Tatangelo Fabiana, Piccirillo Mauro, Grassi Roberto, Izzo Francesco, Petrillo Antonella

机构信息

Department of Radiology, "Istituto Nazionale Tumori, IRCCS, Fondazione G. Pascale", Naples, Italy.

Department of Abdominal Oncology, "Istituto Nazionale Tumori, IRCCS, Fondazione G. Pascale", Naples, Italy.

出版信息

Oncotarget. 2017 Apr 19;8(31):51224-51237. doi: 10.18632/oncotarget.17227. eCollection 2017 Aug 1.

Abstract

PURPOSE

To report a critical analysis of major and ancillary MR imaging features in assessment of HCC.

METHODS

Retrospectively we evaluated 70 cirrhotic patients with 173 nodules, which were subjected to MR study at 0 time (MR0), after 3 (MR3) and 6 months (MR6) using two different contrast media. EOB-GD-DTPA was injected at MR0 and MR6, while Gd-BT-DO3A at MR3. Three expert hepatic radiologists reviewed all images, recording, according to LI-RADS, the size, the presence and quality of arterial-phase hyperenhancement, washout and capsule appearance, threshold growth. Additionally, we recorded signal intensity (SI) on T2-W images, on DWI, on apparent diffusion coefficient (ADC) maps and SI on T1-W images of EOB-GD-BPTA hepatospecific phase. Median value of ADC and of Intravoxel incoherent motion related parameters were assessed.

RESULTS

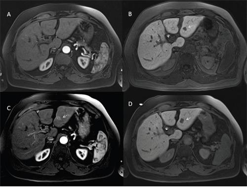
127 HCCs and 24 dysplastic nodules were assessed. Hypervascular on arterial phase was found in 84 HCCs, washout appearance in 124, capsule appearance in 111, hypointensity on hepatospecific phase in 127, hyperintensity on T2-W sequences and restricted diffusion in 107. Hyper vascular on arterial phase was found in 17 dysplastic nodules, wash-out appearance in 2, hypointensity on hepatospecific phase in 7 while no dysplastic nodules showed capsule appearance, hyperintensity on T2-W and restricted diffusion. Highest accuracy was obtained by washout appearance and hypointense signal on hepatospecific phase (97% and 95%).

CONCLUSIONS

Hypointensity on hepatospecific phase and washout appearance are the most relevant diagnostic sign for differentiating low-risk from high-risk HCC nodules. The capsule appearance, T2-W hyperintensity and restricted diffusion have high positive predictive value.

摘要

目的

报告对磁共振成像(MR)主要和辅助特征在肝细胞癌(HCC)评估中的批判性分析。

方法

我们回顾性评估了70例肝硬化患者的173个结节,这些结节在0时(MR0)、3个月后(MR3)和6个月后(MR6)使用两种不同的对比剂进行了MR检查。在MR0和MR6时注射乙氧基苄基二乙三胺五乙酸钆(EOB-GD-DTPA),而在MR3时注射钆贝他胺(Gd-BT-DO3A)。三位专业肝脏放射科医生对所有图像进行了评估,根据肝脏影像报告和数据系统(LI-RADS)记录了大小、动脉期高增强的存在和质量、廓清以及包膜表现、阈值生长情况。此外,我们记录了T2加权图像、扩散加权成像(DWI)、表观扩散系数(ADC)图上的信号强度(SI)以及EOB-GD-BPTA肝特异性期T1加权图像上的SI。评估了ADC和体素内不相干运动相关参数的中位数。

结果

评估了127个HCC和24个发育异常结节。84个HCC在动脉期表现为高血供,124个有廓清表现,111个有包膜表现,127个在肝特异性期呈低信号,107个在T2加权序列上呈高信号且扩散受限。17个发育异常结节在动脉期表现为高血供,2个有廓清表现,7个在肝特异性期呈低信号,而没有发育异常结节表现出包膜、T2加权高信号和扩散受限。通过廓清表现和肝特异性期低信号获得的准确性最高(分别为97%和95%)。

结论

肝特异性期低信号和廓清表现是区分低风险和高风险HCC结节最相关的诊断征象。包膜表现、T2加权高信号和扩散受限具有较高的阳性预测价值。

https://cdn.ncbi.nlm.nih.gov/pmc/blobs/67a0/5584244/e4734ef58a59/oncotarget-08-51224-g001.jpg

文献AI研究员

20分钟写一篇综述,助力文献阅读效率提升50倍。

立即体验

用中文搜PubMed

大模型驱动的PubMed中文搜索引擎

马上搜索

文档翻译

学术文献翻译模型,支持多种主流文档格式。

立即体验