Suppr超能文献

基于小鼠多瘤病毒的稳定纳米结构在抗猪圆环病毒2重组疫苗研发中的应用

Exploitation of stable nanostructures based on the mouse polyomavirus for development of a recombinant vaccine against porcine circovirus 2.

作者信息

Fraiberk Martin, Hájková Michaela, Krulová Magdaléna, Kojzarová Martina, Drda Morávková Alena, Pšikal Ivan, Forstová Jitka

机构信息

Charles University, Faculty of Science, Prague, Czech Republic.

Dyntec spol s r.o., Terezín, Czech Republic.

出版信息

PLoS One. 2017 Sep 18;12(9):e0184870. doi: 10.1371/journal.pone.0184870. eCollection 2017.

Abstract

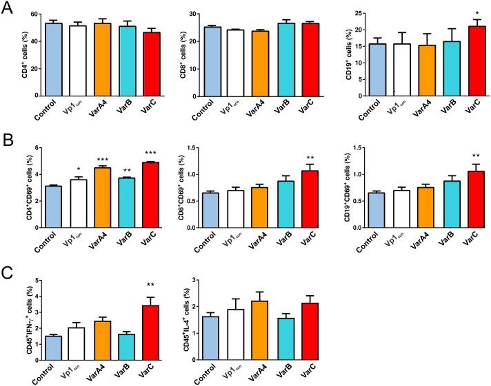
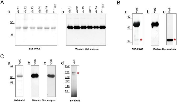
The aim of this study was to develop a suitable vaccine antigen against porcine circovirus 2 (PCV2), the causative agent of post-weaning multi-systemic wasting syndrome, which causes significant economic losses in swine breeding. Chimeric antigens containing PCV2b Cap protein sequences based on the mouse polyomavirus (MPyV) nanostructures were developed. First, universal vectors for baculovirus-directed production of chimeric MPyV VLPs or pentamers of the major capsid protein, VP1, were designed for their exploitation as vaccines against other pathogens. Various strategies were employed based on: A) exposure of selected immunogenic epitopes on the surface of MPyV VLPs by insertion into a surface loop of the VP1 protein, B) insertion of foreign protein molecules inside the VLPs, or C) fusion of a foreign protein or its part with the C-terminus of VP1 protein, to form giant pentamers of a chimeric protein. We evaluated these strategies by developing a recombinant vaccine against porcine circovirus 2. All candidate vaccines induced the production of antibodies against the capsid protein of porcine circovirus after immunization of mice. The candidate vaccine, Var C, based on fusion of mouse polyomavirus and porcine circovirus capsid proteins, could induce the production of antibodies with the highest PCV2 neutralizing capacity. Its ability to induce the production of neutralization antibodies was verified after immunization of pigs. The advantage of this vaccine, apart from its efficient production in insect cells and easy purification, is that it represents a DIVA (differentiating infected from vaccinated animals) vaccine, which also induces an immune response against the mouse polyoma VP1 protein and is thus able to distinguish between vaccinated and naturally infected animals.

摘要

本研究的目的是开发一种针对猪圆环病毒2型(PCV2)的合适疫苗抗原,PCV2是断奶后多系统消耗综合征的病原体,给养猪业造成了重大经济损失。基于小鼠多瘤病毒(MPyV)纳米结构开发了含有PCV2b Cap蛋白序列的嵌合抗原。首先,设计了用于杆状病毒指导生产嵌合MPyV病毒样颗粒(VLPs)或主要衣壳蛋白VP1五聚体的通用载体,以便将其用作针对其他病原体的疫苗。采用了各种策略,这些策略基于:A)通过插入VP1蛋白的表面环将选定的免疫原性表位暴露于MPyV VLPs表面;B)将外源蛋白分子插入VLPs内部;或C)将外源蛋白或其部分与VP1蛋白的C末端融合,以形成嵌合蛋白的巨型五聚体。我们通过开发针对猪圆环病毒2型的重组疫苗来评估这些策略。所有候选疫苗在免疫小鼠后均诱导产生了针对猪圆环病毒衣壳蛋白的抗体。基于小鼠多瘤病毒和猪圆环病毒衣壳蛋白融合的候选疫苗Var C能够诱导产生具有最高PCV2中和能力的抗体。在免疫猪后验证了其诱导产生中和抗体的能力。这种疫苗的优势除了能在昆虫细胞中高效生产且易于纯化外,还在于它是一种鉴别诊断疫苗(DIVA),即能区分感染动物和接种疫苗动物,它还能诱导针对小鼠多瘤病毒VP1蛋白的免疫反应,因此能够区分接种疫苗的动物和自然感染的动物。

https://cdn.ncbi.nlm.nih.gov/pmc/blobs/2765/5602543/ce1e80e8132c/pone.0184870.g001.jpg

文献AI研究员

20分钟写一篇综述,助力文献阅读效率提升50倍。

立即体验

用中文搜PubMed

大模型驱动的PubMed中文搜索引擎

马上搜索

文档翻译

学术文献翻译模型,支持多种主流文档格式。

立即体验