Suppr超能文献

一例酷似实体瘤的出血性肾上腺假性囊肿病例。

A Case of Hemorrhagic Adrenal Pseudocyst Mimicking Solid Tumor.

作者信息

Isono Makoto, Ito Keiichi, Seguchi Kenji, Kimura Takashi, Tachi Kazuyoshi, Kono Takako, Shinmoto Hiroshi, Asano Tomohiko

机构信息

Department of Urology, National Defense Medical College, Tokorozawa, Saitama, Japan.

Department of Pathology, National Defense Medical College, Tokorozawa, Saitama, Japan.

出版信息

Am J Case Rep. 2017 Sep 27;18:1034-1038. doi: 10.12659/ajcr.905063.

Abstract

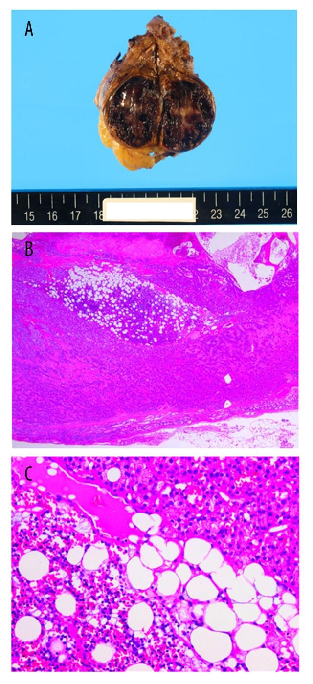
BACKGROUND Adrenal pseudocysts are often discovered incidentally on imaging, but the diagnosis and treatment can be challenging. A case of adrenal pseudocyst with hemorrhage is presented that mimicked a solid tumor on imaging, resulting in adrenalectomy. CASE REPORT A 78-year-old woman was found to have a right adrenal lesion on abdominal imaging. Enhanced computed tomography (CT) showed a heterogeneously enhanced mass, and magnetic resonance imaging (MRI) showed a high-intensity T1-weighted and T2-weighed image, with an irregular enhanced margin. The imaging findings were suggestive of a solid tumor of the adrenal gland. Although full endocrine serological studies were negative, the lesion increased in size at two-year follow-up. Right laparoscopic adrenalectomy was performed, and a benign hemorrhagic adrenal pseudocyst was diagnosed histologically. CONCLUSIONS Adrenal pseudocyst can be associated with acute intracystic hemorrhage, and imaging will show contrast enhancement, suggesting malignancy. In such cases, surgical excision is both diagnostic and curative.

摘要

背景 肾上腺假性囊肿常在影像学检查时偶然发现,但其诊断和治疗可能具有挑战性。本文报告一例肾上腺假性囊肿合并出血病例,该病例在影像学上酷似实体瘤,最终行肾上腺切除术。病例报告 一名78岁女性在腹部影像学检查中发现右肾上腺病变。增强计算机断层扫描(CT)显示肿块呈不均匀强化,磁共振成像(MRI)显示T1加权像和T2加权像均为高信号,边缘强化不规则。影像学表现提示肾上腺实体瘤。尽管全面的内分泌血清学检查结果为阴性,但在两年的随访中病变大小增大。遂行右侧腹腔镜肾上腺切除术,术后组织学诊断为良性出血性肾上腺假性囊肿。结论 肾上腺假性囊肿可伴有急性囊内出血,影像学检查会显示对比增强,提示为恶性肿瘤。在这种情况下,手术切除兼具诊断和治疗作用。

https://cdn.ncbi.nlm.nih.gov/pmc/blobs/823b/5627864/ce66b0fa9550/amjcaserep-18-1034-g001.jpg

文献AI研究员

20分钟写一篇综述,助力文献阅读效率提升50倍。

立即体验

用中文搜PubMed

大模型驱动的PubMed中文搜索引擎

马上搜索

文档翻译

学术文献翻译模型,支持多种主流文档格式。

立即体验