Suppr超能文献

致密性成骨不全三例临床及头影测量分析:病例报告

Clinical and cephalometric analysis of three cases with pycnodysostosis: case reports.

作者信息

Capan Eser, Turan Serap, Kilicoglu Hulya

机构信息

Private practice Turkey.

Department of Pediatric Endocrinology, Faculty Medicine, Marmara University, Turkey.

出版信息

J Istanb Univ Fac Dent. 2015 Jan 31;49(1):51-55. doi: 10.17096/jiufd.70673. eCollection 2015.

Abstract

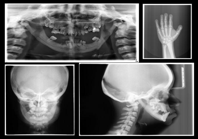
The aim of this article is to present intra- and extra-oral and cephalometric findings of three patients with a rare disease: the pycnodysostosis. Two cases had skeletal Class III malocclusion due to maxillary retrognathia and one had bimaxillary retrusion with Class I relationship. Total circular crossbite, increased gonial angle and vertical facial proportions, deep-narrow palates and retruded upper lip were found in all cases. Maxillary expansion, face mask treatment or/and orthognathic surgery are treatment alternatives, considering the growth and development. Bone fragility and the risk of osteomyelitis after extractions should be considered in such cases before orthodontic treatment and orthognatic surgery.

摘要

本文旨在呈现三名患有罕见疾病——致密性骨发育不全症患者的口内、口外及头影测量结果。两例患者因上颌后缩出现骨性III类错牙合,一例患者为双颌后缩,呈I类关系。所有病例均存在全牙列反牙合、下颌角增大及垂直面部比例异常、腭部深而窄以及上唇后缩的情况。考虑到生长发育因素,上颌扩弓、面罩治疗或/和正颌手术是可供选择的治疗方法。在此类病例中,正畸治疗和正颌手术前应考虑骨脆性以及拔牙后发生骨髓炎的风险。

https://cdn.ncbi.nlm.nih.gov/pmc/blobs/181f/5573464/d892778bd7f7/jiufd-049-051-a-e001.jpg

文献AI研究员

20分钟写一篇综述,助力文献阅读效率提升50倍。

立即体验

用中文搜PubMed

大模型驱动的PubMed中文搜索引擎

马上搜索

文档翻译

学术文献翻译模型,支持多种主流文档格式。

立即体验