Suppr超能文献

牛宿主防御相关组织及分泌物中RNase4和RNase5 mRNA及蛋白质的丰度

Abundance of RNase4 and RNase5 mRNA and protein in host defence related tissues and secretions in cattle.

作者信息

Gupta Sandeep K, Haigh Brendan J, Wheeler Thomas T

机构信息

Dairy Foods, AgResearch, Ruakura Research Centre, Hamilton, New Zealand.

出版信息

Biochem Biophys Rep. 2016 Sep 23;8:261-267. doi: 10.1016/j.bbrep.2016.09.001. eCollection 2016 Dec.

Abstract

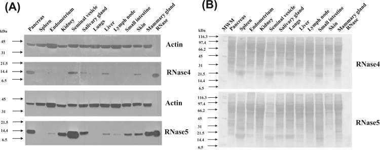
Members of the RNaseA family are present in various tissues and secretions but their function is not well understood. Some of the RNases are proposed to participate in host defence. RNase4 and RNase5 are present in cows' milk and have antimicrobial activity. However, their presence in many tissues and secretions has not been characterised. We hypothesised that these two RNases are present in a range of tissues and secretions where they could contribute to host defence. We therefore, determined the relative abundance of RNase4 and RNase5 mRNA as well as protein levels in a range of host defence related and other tissues as well as a range of secretions in cattle, using real time PCR and western blotting. The two RNases were found to be expressed in liver, lung, pancreas, mammary gland, placenta, endometrium, small intestine, seminal vesicle, salivary gland, kidney, spleen, lymph node, skin as well as testes. Corresponding proteins were also detected in many of the above tissues, as well as in seminal fluid, mammary secretions and saliva. This study provides evidence for the presence of RNase4 and RNase5 in a range of tissues and secretions, as well as some major organs in cattle. The data are consistent with the idea that these proteins could contribute to host defence in these locations. This work contributes to growing body of data suggesting that these proteins contribute to the physiology of the organism in a more complex way than acting merely as digestive enzymes.

摘要

核糖核酸酶A(RNaseA)家族成员存在于各种组织和分泌物中,但其功能尚未完全明确。一些核糖核酸酶被认为参与宿主防御。RNase4和RNase5存在于牛奶中并具有抗菌活性。然而,它们在许多组织和分泌物中的存在情况尚未得到描述。我们推测这两种核糖核酸酶存在于一系列组织和分泌物中,可能有助于宿主防御。因此,我们使用实时荧光定量PCR和蛋白质免疫印迹法,测定了牛体内一系列与宿主防御相关的组织、其他组织以及多种分泌物中RNase4和RNase5的mRNA相对丰度以及蛋白质水平。结果发现,这两种核糖核酸酶在肝脏、肺、胰腺、乳腺、胎盘、子宫内膜、小肠、精囊、唾液腺、肾脏、脾脏、淋巴结、皮肤以及睾丸中均有表达。在上述许多组织以及精液、乳腺分泌物和唾液中也检测到了相应的蛋白质。本研究为RNase4和RNase5在牛的一系列组织、分泌物以及一些主要器官中的存在提供了证据。这些数据与这些蛋白质可能在这些部位有助于宿主防御的观点一致。这项工作为越来越多的数据提供了支持,表明这些蛋白质对生物体生理功能的贡献比仅仅作为消化酶更为复杂。

https://cdn.ncbi.nlm.nih.gov/pmc/blobs/c5ce/5613968/32f9d0f15b21/gr2.jpg

文献AI研究员

20分钟写一篇综述,助力文献阅读效率提升50倍。

立即体验

用中文搜PubMed

大模型驱动的PubMed中文搜索引擎

马上搜索

文档翻译

学术文献翻译模型,支持多种主流文档格式。

立即体验