Suppr超能文献

无典型影像学和病理特征患者疑似机化性肺炎的成功治疗:一例报告

Successful treatment of suspected organizing pneumonia in a patient without typical imaging and pathological characteristic: A case report.

作者信息

Ailing Liu, Ning Xu, Tao Qu, Aijun Li

机构信息

Department of Pulmonary Diseases, Weihai Municipal Hospital, Weihai, Shandong, PR China.

出版信息

Respir Med Case Rep. 2017 Sep 18;22:246-250. doi: 10.1016/j.rmcr.2017.09.007. eCollection 2017.

Abstract

INTRODUCTION

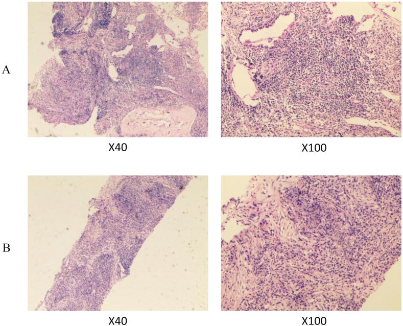
Organizing pneumonia (OP) is a clinicopathological entity characterized by granulation tissue plugs in the lumen of small airways, alveolar ducts, and alveoli. Diagnosis of OP needs the combination of clinical features, imaging and pathology. But it occurs often that there are no typical pathological features to support the diagnosis, which poses a challenge for clinicians' diagnosis and treatment. We diagnosed a case of OP without typical imaging and pathological characteristic and treated successfully. Finally we confirmed the pathological diagnosis.

CONCLUSIONS

Not every OP case is supported by pathological evidence and typical imaging changes. It is important for us to judge and decide the diagnosis according to clinical experience.

摘要

引言

机化性肺炎(OP)是一种临床病理实体,其特征为小气道、肺泡管和肺泡腔内有肉芽组织栓子。OP的诊断需要结合临床特征、影像学和病理学检查。但经常出现的情况是,没有典型的病理特征支持诊断,这给临床医生的诊断和治疗带来了挑战。我们诊断了一例无典型影像学和病理特征的OP病例,并成功进行了治疗。最终我们证实了病理诊断。

结论

并非每例OP病例都有病理证据和典型的影像学改变支持。根据临床经验进行判断和诊断对我们来说很重要。

https://cdn.ncbi.nlm.nih.gov/pmc/blobs/5b5b/5608601/9ae75aa52476/gr1.jpg

文献AI研究员

20分钟写一篇综述,助力文献阅读效率提升50倍。

立即体验

用中文搜PubMed

大模型驱动的PubMed中文搜索引擎

马上搜索

文档翻译

学术文献翻译模型,支持多种主流文档格式。

立即体验