Suppr超能文献

81岁女性髌股关节不稳采用腘绳肌腱重建内侧髌股韧带

Medial Patellofemoral Ligament Reconstruction Using the Hamstring Tendon for Patellofemoral Joint Instability in an 81-Year-Old Female.

作者信息

Takahashi Tsuneari, Takeshita Katsushi

机构信息

Department of Orthopedic Surgery, Jichi Medical University, Shimotsuke, Japan.

出版信息

Open Orthop J. 2017 Aug 29;11:1028-1034. doi: 10.2174/1874325001711011028. eCollection 2017.

Abstract

INTRODUCTION

Chronic patellofemoral instability occurs mainly in adolescent females and can also be induced by medial patellofemoral ligament (MPFL) injury. There are no case reports of MPFL reconstruction for chronic patellofemoral instability due to MPFL injury in aged populations.

CASE PRESENTATION

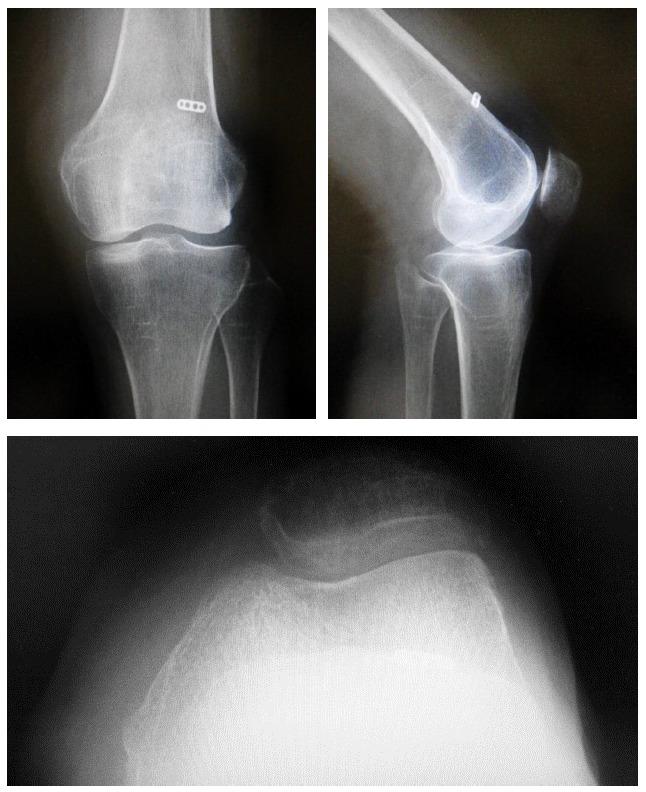
81-year-old female presented with left knee pain, giving way, and patellar instability while climbing stairs, which continued for 18 months. Patellar apprehension test was positive, and roentgenogram showed lateral patellar subluxation. Conservative therapy was not successful; hence, we performed a lateral release and MPFL reconstruction surgery.

OPERATIVE PROCEDURE

After arthroscopic lateral release, the hamstring tendon was harvested, and a graft composite made of doubled hamstring tendon and polyester tape with a suspensory fixation device was prepared. Then, a femoral bone tunnel was constructed in a socket shape at the anatomical footprint of the MPFL. The graft was passed through the femoral tunnel, and free ends of the graft composite were sutured to the periosteum of the patella, using two suture anchors at 60° of knee flexion with patellar reduction. Physiotherapy was gradually started using a patella-stabilizing orthosis on the first postoperative day. Her Kujala score improved from 66 to 97 points, and Barthel index score improved from 70 to 100 points at 1 year after surgery. She neither developed patellofemoral joint OA nor had any recurrence of symptoms at the 5-year postoperative follow up.

CONCLUSION

MPFL reconstruction using the hamstring tendon is an effective procedure for patients with chronic patellofemoral instability even after the age of 80 years.

摘要

引言

慢性髌股关节不稳定主要发生于青春期女性,也可由髌股内侧韧带(MPFL)损伤引起。目前尚无关于老年人群因MPFL损伤导致慢性髌股关节不稳定而进行MPFL重建的病例报告。

病例介绍

一名81岁女性,出现左膝疼痛、打软腿及上楼梯时髌骨不稳定症状,持续18个月。髌骨恐惧试验阳性,X线片显示髌骨外侧半脱位。保守治疗无效,因此我们进行了外侧松解和MPFL重建手术。

手术过程

关节镜下外侧松解后,取腘绳肌腱,制备由双股腘绳肌腱和聚酯带组成并带有悬吊固定装置的移植复合体。然后,在MPFL的解剖足迹处制作一个窝状股骨骨隧道。将移植体穿过股骨隧道,在屈膝60°髌骨复位时,使用两个缝合锚将移植复合体的游离端缝合至髌骨骨膜。术后第一天开始使用髌骨稳定矫形器逐渐进行物理治疗。术后1年,她的库贾拉评分从66分提高到97分,Barthel指数评分从70分提高到100分。术后5年随访时,她既未发生髌股关节骨关节炎,症状也未复发。

结论

对于80岁以上慢性髌股关节不稳定患者,使用腘绳肌腱进行MPFL重建是一种有效的手术方法。

https://cdn.ncbi.nlm.nih.gov/pmc/blobs/e2d1/5612026/f18bf068ce7c/TOORTHJ-11-1028_F1.jpg

文献AI研究员

20分钟写一篇综述,助力文献阅读效率提升50倍。

立即体验

用中文搜PubMed

大模型驱动的PubMed中文搜索引擎

马上搜索

文档翻译

学术文献翻译模型,支持多种主流文档格式。

立即体验