Suppr超能文献

Repairing Bronchoesophageal Tube Fistula Using A Contralateral Latissimus Dorsi Musculocutaneous Flap.

作者信息

Azuma Shuchi, Sakuraba Minoru, Azumi Shogo, Fujita Takeo, Daiko Hiroyuki

机构信息

Department of Plastic and Reconstructive Surgery, National Cancer Center Hospital East, Chiba, Japan; and Department of Esophageal Surgery, National Cancer Center Hospital East, Chiba, Japan.

出版信息

Plast Reconstr Surg Glob Open. 2017 Sep 26;5(9):e1484. doi: 10.1097/GOX.0000000000001484. eCollection 2017 Sep.

Abstract

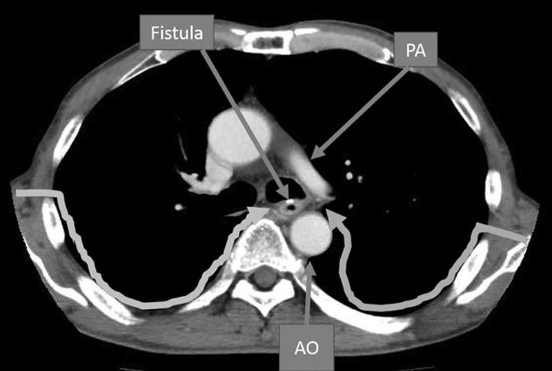
A postoperative aerodigestive fistula is one of the rare but critical complications after esophagectomy, and management is challenging. The essential keys to successful treatment of these fistula are thorough debridement and complete closure followed by separation of the respiratory and digestive tract. We present a case of a recurrent bronchoesophageal fistula between the left main bronchus and neo esophagus, which was successfully treated through a contralateral approach. The fistula was debrided and closed primarily through a right thoracotomy, and the interposition of a pedicled latissimus dorsi musculocutaneous flap from the right side was carried out. The patient was able to resume oral feeding at 16th postoperative day.

摘要
https://cdn.ncbi.nlm.nih.gov/pmc/blobs/a29b/5640357/7666d020012a/gox-5-e1484-g001.jpg

文献AI研究员

20分钟写一篇综述,助力文献阅读效率提升50倍。

立即体验

用中文搜PubMed

大模型驱动的PubMed中文搜索引擎

马上搜索

文档翻译

学术文献翻译模型,支持多种主流文档格式。

立即体验