Suppr超能文献

埃文斯综合征合并肾小管内血红蛋白管型肾病

Evans Syndrome Complicated by Intratubular Hemoglobin Cast Nephropathy.

作者信息

González Iván, Rais Rehan, Gaut Joseph P, Dehner Louis P

机构信息

The Lauren V. Ackerman Laboratory of Surgical Pathology, St. Louis Children's Hospital, Washington University Medical Center, St. Louis, MO, USA.

出版信息

Case Rep Pediatr. 2017;2017:5184587. doi: 10.1155/2017/5184587. Epub 2017 Oct 15.

Abstract

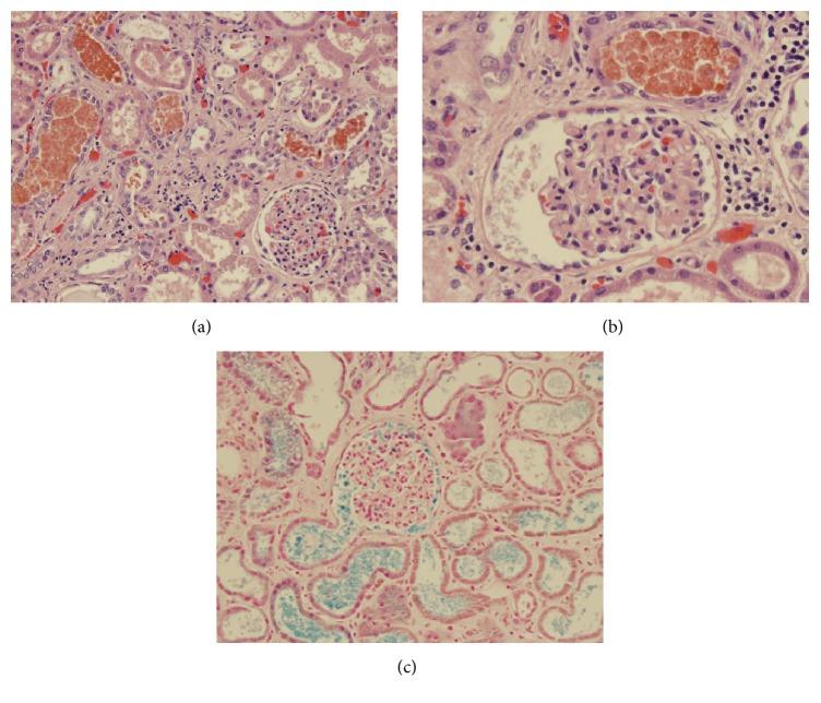
Evans syndrome (ES) is a rare autoimmune disorder whose exact pathophysiology is unknown. It is characterized by the simultaneous or subsequent development of autoimmune hemolytic anemia (AIHA) and immune thrombocytopenia (ITP). Intravascular hemolysis, with hemoglobinemia, is known to produce acute kidney injury; however, the development of intratubular hemoglobin casts (hemoglobin cast nephropathy) in the setting of acute hemolysis is uncommon. Likewise, the association of ES and acute renal failure is equally uncommon. We present a case of a 7-year-old girl with ES who developed acute kidney injury in the setting of intravascular hemolysis and had widespread intratubular hemoglobin casts.

摘要

伊文氏综合征(ES)是一种罕见的自身免疫性疾病,其确切的病理生理学尚不清楚。它的特征是自身免疫性溶血性贫血(AIHA)和免疫性血小板减少症(ITP)同时或相继发生。血管内溶血伴血红蛋白血症已知会导致急性肾损伤;然而,在急性溶血情况下发生肾小管内血红蛋白管型(血红蛋白管型肾病)并不常见。同样,ES与急性肾衰竭的关联也同样罕见。我们报告一例7岁患ES的女孩,她在血管内溶血情况下发生了急性肾损伤,并出现广泛的肾小管内血红蛋白管型。

https://cdn.ncbi.nlm.nih.gov/pmc/blobs/21ac/5661089/9c4bce828a77/CRIPE2017-5184587.001.jpg

文献AI研究员

20分钟写一篇综述,助力文献阅读效率提升50倍。

立即体验

用中文搜PubMed

大模型驱动的PubMed中文搜索引擎

马上搜索

文档翻译

学术文献翻译模型,支持多种主流文档格式。

立即体验