Suppr超能文献

一名23个月大女童的巨大腘窝脂肪母细胞瘤:病例报告

A giant popliteal lipoblastoma in a 23-month-old girl: a case report.

作者信息

Hashimoto Shogo, Kikuta Kazutaka, Sekita Tetsuya, Nakayama Robert, Takayama Shinichiro, Sasaki Aya, Kameyama Kaori, Nakamura Masaya, Matsumoto Morio, Morioka Hideo

机构信息

Department of Orthopaedic Surgery, Keio University School of Medicine, 35 Shinanomachi, Shinjyuku-ku, 160-8582, Tokyo, Japan.

Department of Orthopaedic Surgery, National Center for Child Health and Development, 2-10-1 Okura, Setagaya-ku, 157-8535, Tokyo, Japan.

出版信息

J Med Case Rep. 2017 Dec 5;11(1):338. doi: 10.1186/s13256-017-1513-y.

Abstract

BACKGROUND

Lipoblastomas are rare benign tumors that arise from embryonic white fat and almost always occur in babies and children. Here, we report a case of a giant popliteal lipoblastoma in a 23-month-old Japanese girl that was successfully treated via complete resection.

CASE PRESENTATION

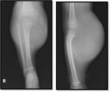
Our patient was a 23-month-old Japanese girl. At 6 months of age, she presented at a nearby hospital with a mass on the popliteal side of her lower right leg. She had no symptoms and was diagnosed as having a benign adipose tumor via magnetic resonance imaging. The mass gradually increased in size, and she was referred to our hospital at 1 year and 11 months of age. A physical examination and radiology revealed a localized mass 13 × 10 × 7 cm in size in the aforementioned area that restricted knee movement and caused proximal tibia deformity. Magnetic resonance imaging showed a giant circumscribed subcutaneous mass with multiple partitions that was hyperintense on T1-weighted and T2-weighted images but not fat-saturated on T2-weighted images. Based on these findings, she was diagnosed as having a lipoblastoma. Because the mass surrounded her popliteal artery and vein and part of the popliteal nerve, surgical resection was considered risky, and we opted to simply observe her. However, owing to rapid growth of the mass and the worsening of symptoms, she underwent complete resection at 2 years and 6 months of age. A histological examination confirmed the diagnosis of a lipoblastoma. She was discharged from our hospital 3 days after surgery with no symptoms. She could walk without pain at the 6-month follow-up, and no local recurrence was observed.

CONCLUSIONS

We successfully treated a giant popliteal lipoblastoma without complications by performing a total resection. Our report provides evidence that lipoblastomas should be considered for surgical resection when they progress or symptoms appear.

摘要

背景

脂肪母细胞瘤是一种罕见的良性肿瘤,起源于胚胎白色脂肪,几乎总是发生于婴儿和儿童。在此,我们报告一例23个月大的日本女孩的巨大腘窝脂肪母细胞瘤,通过完整切除成功治愈。

病例介绍

我们的患者是一名23个月大的日本女孩。6个月大时,她因右下肢腘窝处有一肿块就诊于附近医院。她没有症状,通过磁共振成像被诊断为良性脂肪肿瘤。肿块逐渐增大,1岁11个月时被转诊至我院。体格检查和影像学检查显示,上述区域有一个大小为13×10×7 cm的局限性肿块,限制了膝关节活动并导致胫骨近端畸形。磁共振成像显示一个巨大的边界清晰的皮下肿块,有多个分隔,在T1加权和T2加权图像上呈高信号,但在T2加权图像上未脂肪抑制。基于这些发现,她被诊断为脂肪母细胞瘤。由于肿块包绕了她的腘动脉、静脉和部分腘神经,手术切除被认为有风险,我们选择先对她进行观察。然而,由于肿块迅速生长且症状加重,她在2岁6个月时接受了完整切除。组织学检查确诊为脂肪母细胞瘤。术后3天她从我院出院,没有症状。6个月随访时她能无痛行走,未观察到局部复发。

结论

我们通过完整切除成功治疗了一例巨大腘窝脂肪母细胞瘤且无并发症。我们的报告提供了证据,表明脂肪母细胞瘤在进展或出现症状时应考虑手术切除。

https://cdn.ncbi.nlm.nih.gov/pmc/blobs/ca44/5716229/130a5bb5d54a/13256_2017_1513_Fig1_HTML.jpg

文献AI研究员

20分钟写一篇综述,助力文献阅读效率提升50倍。

立即体验

用中文搜PubMed

大模型驱动的PubMed中文搜索引擎

马上搜索

文档翻译

学术文献翻译模型,支持多种主流文档格式。

立即体验