Suppr超能文献

一名老年意大利女性的菊池-藤本病:病例报告及文献综述

Kikuchi-Fujimoto Disease in an Old Italian Woman: Case Report and Review of the Literature.

作者信息

D'Introno A, Perrone A, Schilardi A, Gentile A, Sabbà C, Napoli N

机构信息

Clinica Medica "Cesare Frugoni", Department of Interdisciplinary Medicine, University of Bari "Aldo Moro", Piazza Giulio Cesare 11, 70124 Bari, Italy.

Institute of Pathological Anatomy, Department of Emergence and Organ Transplantation, University of Bari "Aldo Moro", Piazza Giulio Cesare 11, 70124 Bari, Italy.

出版信息

Case Rep Med. 2017;2017:7257902. doi: 10.1155/2017/7257902. Epub 2017 Dec 14.

Abstract

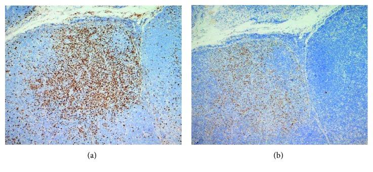
Kikuchi-Fujimoto disease (KFD) is a rare, benign, generally self-limiting disease that has higher prevalence in Asian people with a few cases reported in European countries. It generally affects young subjects under 40 years of age and is characterized by regional lymphadenopathy. Here, we present a case of a 66-year-old Italian woman who was extensively examined for right unilateral laterocervical lymph nodes associated with fever, night sweats, fatigue, and weight loss. She was diagnosed as having the KFD only after an excision biopsy of the largest laterocervical lymph node and was then managed symptomatically with NSAIDs. We also made a review of the literature for better awareness of the disease among physicians especially in those countries, like Italy, where the disease is not prevalent and may be frequently misdiagnosed. In fact, to our best knowledge, only seven Italian cases of KFD have been published in the last 15 years with patients being younger than 40 years. We finally highlight that it is noteworthy to consider KFD as differential diagnosis of lymphadenopathy even in old patients, and, since a misdiagnosis of lymphoma is actually feasible, an early biopsy has to be taken into account for confirming diagnosis and helping in the timely and appropriate management.

摘要

菊池-藤本病(KFD)是一种罕见的良性疾病,通常为自限性,在亚洲人群中发病率较高,欧洲国家也有少数病例报告。该病一般影响40岁以下的年轻患者,其特征为局部淋巴结病。在此,我们报告一例66岁的意大利女性病例,该患者因右侧单侧颈外侧淋巴结肿大,并伴有发热、盗汗、疲劳和体重减轻而接受了全面检查。仅在对最大的颈外侧淋巴结进行切除活检后,她才被诊断为菊池-藤本病,随后使用非甾体抗炎药进行对症治疗。我们还对文献进行了综述,以便医生更好地了解这种疾病,尤其是在意大利等该病并不常见且可能经常被误诊的国家。事实上,据我们所知,在过去15年里,意大利仅发表了7例菊池-藤本病病例,患者均小于40岁。我们最后强调,即使在老年患者中,也值得将菊池-藤本病作为淋巴结病的鉴别诊断考虑,而且,由于淋巴瘤实际上有可能被误诊,因此必须考虑尽早进行活检以确诊并有助于及时、恰当的治疗。

https://cdn.ncbi.nlm.nih.gov/pmc/blobs/b3a2/5745701/b2e2def04e28/CRIM2017-7257902.001.jpg

文献AI研究员

20分钟写一篇综述,助力文献阅读效率提升50倍。

立即体验

用中文搜PubMed

大模型驱动的PubMed中文搜索引擎

马上搜索

文档翻译

学术文献翻译模型,支持多种主流文档格式。

立即体验