Derebey Murat, Karabicak Ilhan, Yuruker Savas, Lap Gokhan, Meydan Bilge Can, Danaci Murat, Karabulut Kagan, Ozen Necati
Department of General Surgery, Tatvan State Hospital, Bitlis, Turkey.
Department of General Surgery, VM Medical Park Hospital, Samsun, Turkey.
Case Rep Surg. 2017;2017:9053568. doi: 10.1155/2017/9053568. Epub 2017 Dec 19.
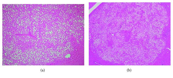
Although the gallbladder is the most common site of ectopic liver, it has been reported in many other organs, such as kidney, adrenal glands, pancreas, omentum, stomach, esophagus, mediastinum, lungs, and heart. Hepatocytes in an ectopic liver behave like normal hepatocytes; furthermore, they can be associated with the same pathological findings as those in the main liver. Ectopic liver in the gallbladder can undergo fatty change, hemosiderosis, cholestasis, cirrhosis, hemangioma, focal nodular hyperplasia, adenoma, and even carcinogenesis. The incidence of extracapsular hepatic adenoma is not known, but only two cases have been reported. Here, we provide the first case report of synchronous multiple intracapsular and extracapsular hepatic adenomas. A 60-year-old woman with multiple hepatic adenomas and one 7 × 5 × 5 cm ectopic hepatic adenoma attached to the gallbladder fundus complicated with abdominal pain is presented.