Yi-Yung Yu Edward, Yang Fei-Shih, Chiu Yu-Jen, Tsai Fuu-Jen, Lu Chi-Cheng, Yang Jai-Sing
Department of Radiology, MacKay Memorial Hospital, Taipei 104, Taiwan - Department of Radiology, Taitung MacKay Memorial Hospital, Taitung 950, Taiwan.
Department of Radiology, MacKay Memorial Hospital, Taipei 104, Taiwan.
Biomedicine (Taipei). 2018 Mar;8(1):6. doi: 10.1051/bmdcn/2018080106. Epub 2018 Feb 26.
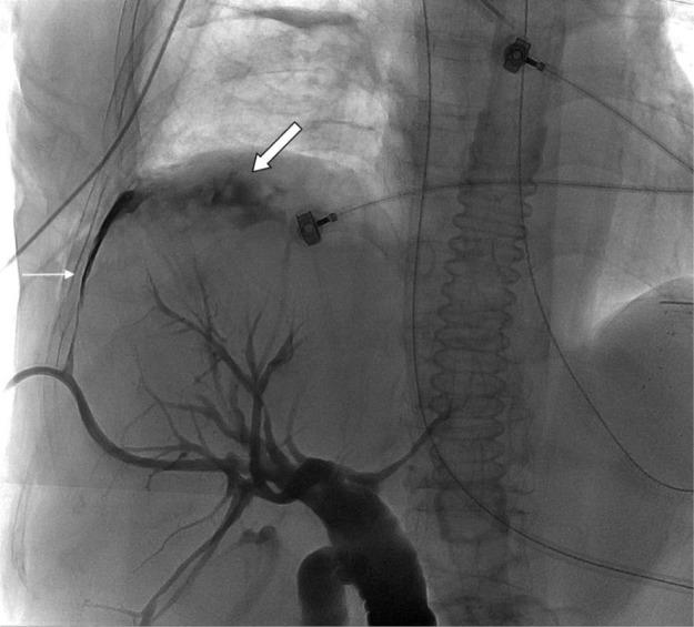
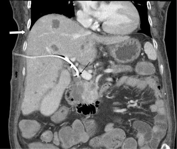
Biliopleural fistula (BF) and formation of biliopleural effusion is a rare complication following percutaneous transhepatic biliary drainage (PTBD). It occurs when the pleura is traversed by the catheter before entering the bile duct. Biliopleural fistula should be suspected when right side pleural effusion develops following the PTBD procedure. The diagnosis of biliopleural fistula is made when greenish pleural fluid with high concentration of bilirubin is aspirated. Here we present a case where a patient develops a biliopleural fistula following PTBD due to obstructive jaundice caused by neuroendocrine tumor of pancreas. Biliopleural fistula was disclosed after a scheduled catheter replacement procedure. Treatments of biliopleural fistula include thoracentesis with drainage tube installation into pleural space. In addition, a drainage tube was installed through percutaneous transhepatic gallbladder drainage (PTGBD) to reduce the bile induced pressure. Surgical repair of fistula was performed after the conservative treatment was unsuccessful. The patient expired 5 days after surgery due to respiratory failure.
胆胸膜瘘(BF)和胆胸膜腔积液的形成是经皮肝穿刺胆道引流术(PTBD)后一种罕见的并发症。当导管在进入胆管之前穿过胸膜时就会发生这种情况。在PTBD术后出现右侧胸腔积液时,应怀疑有胆胸膜瘘。当抽出胆红素浓度高的绿色胸水时,即可诊断为胆胸膜瘘。在此,我们报告一例因胰腺神经内分泌肿瘤导致梗阻性黄疸而行PTBD术后发生胆胸膜瘘的病例。在计划的导管置换术后发现了胆胸膜瘘。胆胸膜瘘的治疗方法包括胸腔穿刺并在胸腔内放置引流管。此外,通过经皮经肝胆囊引流术(PTGBD)放置引流管以降低胆汁引起的压力。保守治疗失败后进行了瘘管的手术修复。患者术后5天因呼吸衰竭死亡。