Suppr超能文献

成人眼眶髓系肉瘤酷似鼻泪管阻塞:一例报告。

Orbital myeloid sarcoma in adult mimicking nasolacrimal duct obstruction: A case report.

作者信息

Pruksakorn Vannakorn, Tirakunwichcha Suppapong, Assanasen Thamathorn

机构信息

Department of Ophthalmology, Faculty of Medicine, Chulalongkorn University and King Chulalongkorn Memorial Hospital, Thai Red Cross Society, Thailand.

Department of Pathology, Faculty of Medicine, Chulalongkorn University and King Chulalongkorn Memorial Hospital, Thai Red Cross Society, Thailand.

出版信息

Am J Ophthalmol Case Rep. 2016 Aug 12;4:35-37. doi: 10.1016/j.ajoc.2016.08.003. eCollection 2016 Dec.

Abstract

PURPOSE

To describe an orbital myeloid sarcoma in adult presenting with a swollen mass at inferomedial canthal area and epiphora which was misdiagnosed as nasolacrimal duct obstruction.

OBSERVATIONS

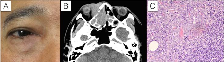
A 45-year-old male presented with a swollen right lower eyelid around medial canthal area for 2 months with tearing for 6 month-period earlier. Eye examination demonstrated a high tear meniscus, slightly erythematous eyelid with palpable mass closed to the lacrimal sac along the inferior orbital rim. Computed tomography scan depicted infiltrative mass at the inferomedial aspect of right orbit with bony erosion, extended to adjacent paranasal sinuses. An incisional biopsy was performed. Histopathological study revealed soft tissue which was diffusely infiltrated by monotonous medium-sized round cells resembling blasts with lymphoglandular bodies, focally positive myeloperoxidase and negative lymphoid markers. The findings were consistent with myeloid sarcoma. No systemic involvement was found. The patient underwent chemotherapy and radiation without systemic leukemic disease progression.

CONCLUSIONS AND IMPORTANCE

Although orbital myeloid sarcoma is rare and difficult to diagnose, it can mimic nasolacrimal duct obstruction. We should consider this condition in our differential diagnosis.

摘要

目的

描述一例成年眼眶髓系肉瘤,患者表现为内眦部肿胀肿块及溢泪,最初被误诊为鼻泪管阻塞。

观察结果

一名45岁男性,右内眦部周围下眼睑肿胀2个月,此前有6个月的流泪症状。眼部检查发现泪液弯月面较高,眼睑轻度红斑,沿眶下缘在泪囊附近可触及肿块。计算机断层扫描显示右眼眶内下侧有浸润性肿块,伴有骨质侵蚀,并延伸至相邻鼻窦。进行了切开活检。组织病理学研究显示软组织被单一的中等大小圆形细胞弥漫浸润,这些细胞类似原始细胞,伴有淋巴腺小体,髓过氧化物酶局部阳性,淋巴样标记物阴性。这些发现符合髓系肉瘤。未发现全身受累。患者接受了化疗和放疗,未出现全身性白血病进展。

结论及重要性

尽管眼眶髓系肉瘤罕见且难以诊断,但它可类似鼻泪管阻塞。我们在鉴别诊断时应考虑到这种情况。

https://cdn.ncbi.nlm.nih.gov/pmc/blobs/44b5/5757455/d5bcc9a8d8e2/gr1.jpg

文献AI研究员

20分钟写一篇综述,助力文献阅读效率提升50倍。

立即体验

用中文搜PubMed

大模型驱动的PubMed中文搜索引擎

马上搜索

文档翻译

学术文献翻译模型,支持多种主流文档格式。

立即体验