Grupo de Morfología Celular, Instituto Nacional de Salud (INS), Bogotá 111321, D.C., Colombia.
Departamento de Ciencias Básicas, Institución Universitaria Escuela Colombiana de Rehabilitación, Bogotá 110121, D.C., Colombia.
Viruses. 2018 Mar 6;10(3):112. doi: 10.3390/v10030112.
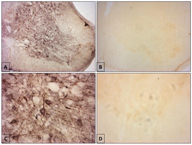
Rabies is a viral infection that targets the nervous system, specifically neurons. The clinical manifestations of the disease are dramatic and their outcome fatal; paradoxically, conventional histopathological descriptions reveal only subtle changes in the affected nervous tissue. Some researchers have considered that the pathophysiology of rabies is based more on biochemical changes than on structural alterations, as is the case with some psychiatric diseases. However, we believe that it has been necessary to resort to other methods that allow us to analyze the effect of the infection on neurons. The Golgi technique is the gold standard for studying the morphology of all the components of a neuron and the cytoskeletal proteins are the structural support of dendrites and axons. We have previously shown, in the mouse cerebral cortex and now with this work in spinal cord, that rabies virus generates remarkable alterations in the morphological pattern of the neurons and that this effect is associated with the increase in the expression of two cytoskeletal proteins (MAP2 and NF-H). It is necessary to deepen the investigation of the pathogenesis of rabies in order to find therapeutic alternatives to a disease to which the World Health Organization classifies as a neglected disease.
狂犬病是一种以神经系统为靶向的病毒感染,特别是神经元。该疾病的临床表现十分显著,其结果是致命的;矛盾的是,常规的组织病理学描述仅显示受影响的神经组织的细微变化。一些研究人员认为,狂犬病的病理生理学更多地基于生化变化,而不是结构改变,就像一些精神疾病一样。然而,我们认为有必要采用其他方法来分析感染对神经元的影响。高尔基技术是研究神经元所有成分形态的金标准,细胞骨架蛋白是树突和轴突的结构支撑。我们之前已经在小鼠大脑皮层中显示,现在在脊髓中也显示,狂犬病病毒会导致神经元形态模式的显著改变,而这种效应与两种细胞骨架蛋白(MAP2 和 NF-H)表达增加有关。为了找到一种被世界卫生组织归类为被忽视疾病的疾病的治疗替代方法,有必要深入研究狂犬病的发病机制。