Department of Pathology, China-Japan Union Hospital of Jilin University, Changchun 130033, China.
Department of Nephrology, China-Japan Union Hospital of Jilin University, Changchun 130033, China.
Oxid Med Cell Longev. 2018 Feb 7;2018:8713263. doi: 10.1155/2018/8713263. eCollection 2018.
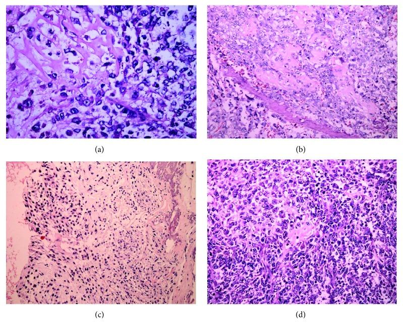
is rich in flavonoids, which may prevent osteosarcoma progression, but its related molecular mechanism remains unclear. Flavonoids were extracted from and purified by reparative HPLC. Each fraction was identified by using electrospray ionisation mass spectrometry (ESI-MS). Three main components (naringin, naringenin, and hesperetin) were isolated from . Naringenin inhibited the growth of MG-63 cells, whereas naringin and hesperetin had no inhibitory function on cell growth. ROS production was increased in naringin- and hesperetin-treated groups after one day of culture while the level was always lowest in the naringenin-treated group after three days of culture. 95 osteosarcoma patients who underwent surgery were assigned into two groups: naringenin group (NG, received 20 mg naringenin daily, = 47) and control group (CG, received 20 mg placebo daily, = 48). After an average of two-year follow-up, osteosarcoma volumes were smaller in the NG group than in the CG group ( > 0.01). The rate of osteosarcoma recurrence was also lower in the NG group than in CG group. ROS levels were lower in the NG group than in the CG group. Thus, naringenin from inhibits osteosarcoma progression and local recurrence in the patients who underwent osteosarcoma surgery by improving antioxidant capability.
富含类黄酮,类黄酮可能阻止骨肉瘤的进展,但相关的分子机制尚不清楚。类黄酮从 中提取并用修复高效液相色谱法纯化。各馏分采用电喷雾电离质谱(ESI-MS)鉴定。从 中分离出三种主要成分(柚皮苷、柚皮苷和橙皮苷)。柚皮苷抑制 MG-63 细胞的生长,而柚皮苷和橙皮苷对细胞生长没有抑制作用。培养一天后,柚皮苷和橙皮苷处理组的 ROS 产生增加,而培养三天后,柚皮苷处理组的 ROS 水平始终最低。95 例接受手术的骨肉瘤患者分为两组:柚皮苷组(NG,每天接受 20mg 柚皮苷,n = 47)和对照组(CG,每天接受 20mg 安慰剂,n = 48)。平均随访两年后,NG 组的骨肉瘤体积小于 CG 组( > 0.01)。NG 组骨肉瘤复发率也低于 CG 组。NG 组的 ROS 水平低于 CG 组。因此,柚皮苷从 抑制骨肉瘤的进展和局部复发在接受骨肉瘤手术的患者通过提高抗氧化能力。