Suppr超能文献

肾上腺皮质腺瘤所致库欣综合征患者肾上腺切除术后的胸腺反跳性增生:一例报告

Rebound thymic hyperplasia after adrenalectomy in a patient with Cushing syndrome caused by adrenocortical adenoma: A case report.

作者信息

Hwang Jung Won, Hwang Pyoung Han

机构信息

Department of Pediatrics, Chonbuk National University Medical School Research Institute of Clinical Medicine of Chonbuk National University-Biomedical Research Institute of Chonbuk National University Hospital, Jeonju, Korea.

出版信息

Medicine (Baltimore). 2018 Apr;97(15):e0367. doi: 10.1097/MD.0000000000010367.

Abstract

RATIONALE

The development of rebound thymic hyperplasia (RTH) has been reported in patients who have recovered from stressful conditions such as surgery and steroid therapy. We report a case of RTH following the resolution of hypercortisolism after adrenalectomy for the treatment of adrenocortical adenoma in a patient with Cushing syndrome.

PATIENT CONCERNS

A 5-month-old female infant with a history of overeating, hirsutism, and excessive weight gain for the previous 2 months was referred to the hospital. The laboratory results revealed elevated 24-hour urinary free cortisol levels. An overnight dexamethasone suppression test showed no response. Abdominal imaging revealed a right-sided suprarenal mass measuring 4_3cm. Histology showed an adrenocortical adenoma. Thus, she underwent a right adrenalectomy.

DIAGNOSES

The patient showed clinical improvement with weight loss and normal cortisol levels over the next 4 months. Six months after the operation, a chest computed tomography showed enlargement of the left thymic lobe, which was previously nonexistent.

INTERVENTIONS

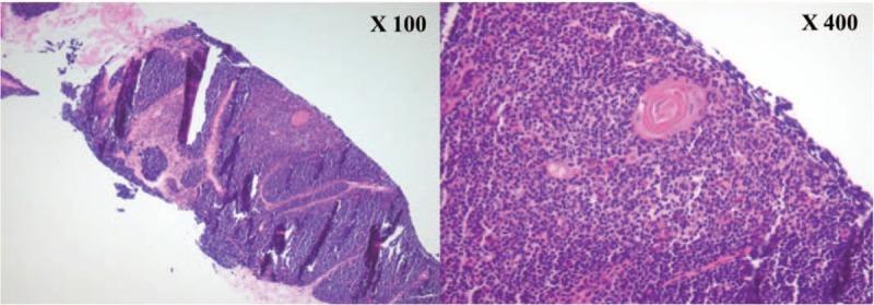
A fine needle aspiration biopsy was performed, and histological examination revealed diffuse thymic hyperplasia.

OUTCOMES

At the 1-year follow-up, the chest imaging studies showed resolution of the RTH.

LESSIONS

An understanding of RTH after adrenalectomy as a treatment for cortisol-producing adrenocortical tumors is important for the prevention of unnecessary surgical intervention and therapy.

摘要

原理

据报道,在从手术和类固醇治疗等应激状态恢复的患者中出现了反弹胸腺增生(RTH)。我们报告了一例在库欣综合征患者因肾上腺皮质腺瘤行肾上腺切除术后高皮质醇血症消退后发生RTH的病例。

患者情况

一名5个月大的女婴因前2个月有暴饮暴食、多毛和体重过度增加的病史而被转诊至医院。实验室检查结果显示24小时尿游离皮质醇水平升高。过夜地塞米松抑制试验无反应。腹部影像学检查发现右侧肾上腺有一个4×3cm的肿块。组织学检查显示为肾上腺皮质腺瘤。因此,她接受了右侧肾上腺切除术。

诊断

在接下来的4个月里,患者体重减轻,皮质醇水平正常,临床症状改善。术后6个月,胸部计算机断层扫描显示左侧胸腺叶增大,而之前并不存在。

干预措施

进行了细针穿刺活检,组织学检查显示为弥漫性胸腺增生。

结果

在1年的随访中,胸部影像学检查显示RTH消退。

经验教训

了解肾上腺切除术后作为产生皮质醇的肾上腺皮质肿瘤治疗方法的RTH,对于预防不必要的手术干预和治疗很重要。

https://cdn.ncbi.nlm.nih.gov/pmc/blobs/3d93/5908590/e685b3a32264/medi-97-e0367-g001.jpg

文献AI研究员

20分钟写一篇综述,助力文献阅读效率提升50倍。

立即体验

用中文搜PubMed

大模型驱动的PubMed中文搜索引擎

马上搜索

文档翻译

学术文献翻译模型,支持多种主流文档格式。

立即体验