Suppr超能文献

佩-吉二氏综合征:一种可避免的急症。

Peutz-Jeghers Syndrome: A Circumventable Emergency.

作者信息

Choudhury Sourav, Das Anupam, Misra Priyankar, Ray Udipta, Sarangi Sujata

机构信息

Department of General Surgery, Medical College and Hospital, Kolkata, West Bengal, India.

Department of Dermatology, KPC Medical College and Hospital, Kolkata, West Bengal, India.

出版信息

Indian J Dermatol. 2018 Mar-Apr;63(2):168-171. doi: 10.4103/ijd.IJD_563_16.

Abstract

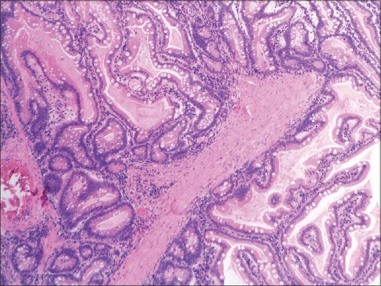
Peutz-Jeghers syndrome (PJS) is characterized by multiple hamartomatous polyps in the gastrointestinal tract and mucocutaneous pigmentation. Here we present, a case of multiple gastrointestinal hamartomatous polyps in a 22-year-old male who had been operated for intestinal obstruction due to ileocolic intussusception. Resection of the affected segment was done with proximal ileostomy and distal mucous fistula formation. Clinicopathological diagnosis of PJS was made. Later, during ileostomy closure, it was found that the patient had a transverse colonic mass which was resected. Histological examination with immunohistochemistry confirmed it to be a Mucosa-Associated Lymphoid Tissue Lymphoma (MALToma). Colonic MALToma in the background of PJS is a unique case for which it has been reported.

摘要

黑斑息肉综合征(PJS)的特征是胃肠道存在多个错构瘤性息肉以及黏膜皮肤色素沉着。在此,我们报告一例22岁男性患者,其患有多个胃肠道错构瘤性息肉,因回结肠套叠导致肠梗阻而接受手术治疗。对受累肠段进行了切除,并做了近端回肠造口术和远端黏液瘘形成术。做出了PJS的临床病理诊断。后来,在回肠造口关闭期间,发现该患者有一个横结肠肿物,遂将其切除。免疫组织化学检查证实其为黏膜相关淋巴组织淋巴瘤(MALToma)。PJS背景下的结肠MALToma是一个已被报道的独特病例。

https://cdn.ncbi.nlm.nih.gov/pmc/blobs/fa70/5903049/6c316d6553ce/IJD-63-168-g001.jpg

文献AI研究员

20分钟写一篇综述,助力文献阅读效率提升50倍。

立即体验

用中文搜PubMed

大模型驱动的PubMed中文搜索引擎

马上搜索

文档翻译

学术文献翻译模型,支持多种主流文档格式。

立即体验