Department of Radiology, Seoul National University College of Medicine, and Institute of Radiation Medicine, Seoul National University Medical Research Center, Seoul 03080, Korea.
Department of Radiology, Konkuk University Medical Center, Konkuk University School of Medicine, Seoul 05030, Korea.
Korean J Radiol. 2018 May-Jun;19(3):526-533. doi: 10.3348/kjr.2018.19.3.526. Epub 2018 Apr 6.
To compare the observer preference of image quality and radiation dose between non-grid, grid-like, and grid images.
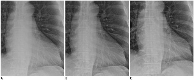
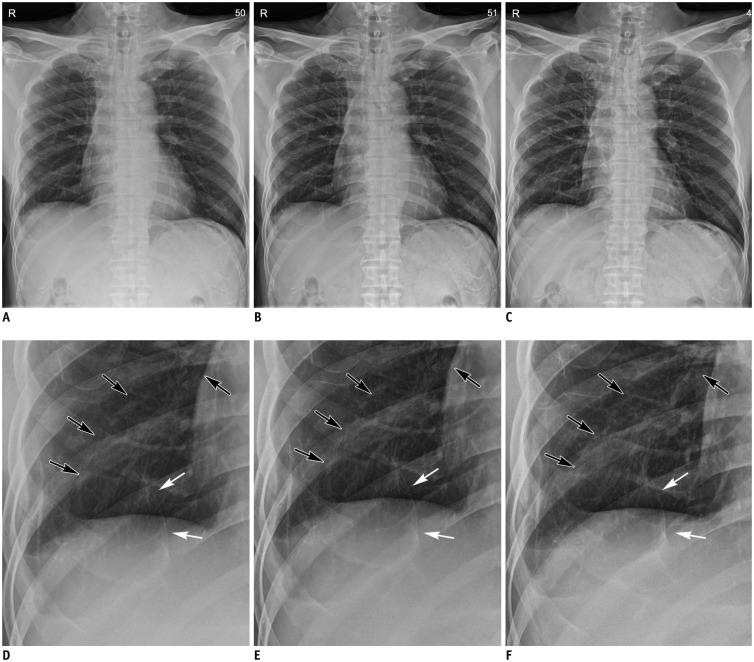
Each of the 38 patients underwent bedside chest radiography with and without a grid. A grid-like image was generated from a non-grid image using SimGrid software (Samsung Electronics Co. Ltd.) employing deep-learning-based scatter correction technology. Two readers recorded the preference for 10 anatomic landmarks and the overall appearance on a five-point scale for a pair of non-grid and grid-like images, and a pair of grid-like and grid images, respectively, which were randomly presented. The dose area product (DAP) was also recorded. Wilcoxon's rank sum test was used to assess the significance of preference.
Both readers preferred grid-like images to non-grid images significantly ( < 0.001); with a significant difference in terms of the preference for grid images to grid-like images ( = 0.317, 0.034, respectively). In terms of anatomic landmarks, both readers preferred grid-like images to non-grid images ( < 0.05). No significant differences existed between grid-like and grid images except for the preference for grid images in proximal airways by two readers, and in retrocardiac lung and thoracic spine by one reader. The median DAP were 1.48 (range, 1.37-2.17) dGycm in grid images and 1.22 (range, 1.11-1.78) dGycm in grid-like images with a significant difference ( < 0.001).
The SimGrid software significantly improved the image quality of non-grid images to a level comparable to that of grid images with a relatively lower level of radiation exposure.
比较非栅格、类栅格和栅格图像的观察者对图像质量和辐射剂量的偏好。
每位 38 例患者均进行床边胸部摄影,分别有无栅格。使用 SimGrid 软件(三星电子有限公司)生成类栅格图像,该软件采用基于深度学习的散射校正技术。两名读者记录了 10 个解剖标志和整体外观的偏好程度,分别对一对非栅格和类栅格图像以及一对类栅格和栅格图像进行五分制评分,图像随机呈现。还记录了剂量面积乘积(DAP)。使用 Wilcoxon 秩和检验评估偏好的显著性。
两名读者均显著更喜欢类栅格图像而非非栅格图像(<0.001);对于栅格图像与类栅格图像的偏好,存在显著差异(=0.317,0.034)。在解剖标志方面,两名读者均更喜欢类栅格图像而非非栅格图像(<0.05)。除了两名读者对近端气道的类栅格图像偏好以及一名读者对心脏后肺和胸椎的栅格图像偏好外,类栅格图像与栅格图像之间没有显著差异。栅格图像的 DAP 中位数为 1.48(范围,1.37-2.17)dGycm,类栅格图像的 DAP 中位数为 1.22(范围,1.11-1.78)dGycm,差异有统计学意义(<0.001)。
SimGrid 软件可显著提高非栅格图像的图像质量,使其达到与栅格图像相当的水平,同时辐射暴露水平相对较低。