Suppr超能文献

与间变性淋巴瘤激酶(ALK)抑制剂阿来替尼相关的进行性肾功能不全。

Progressive renal insufficiency related to ALK inhibitor, alectinib.

作者信息

Nagai Kojiro, Ono Hiroyuki, Matsuura Motokazu, Hann Michael, Ueda Sayo, Yoshimoto Sakiya, Tamaki Masanori, Murakami Taichi, Abe Hideharu, Ishikura Hisashi, Doi Toshio

机构信息

Department of Nephrology, Institute of Biomedical Sciences, Tokushima University Graduate School, Tokushima, Japan.

Department of the Directorate for Medical Services, US Navy Hospital, Yokosuka, Japan.

出版信息

Oxf Med Case Reports. 2018 Apr 25;2018(4):omy009. doi: 10.1093/omcr/omy009. eCollection 2018 Apr.

Abstract

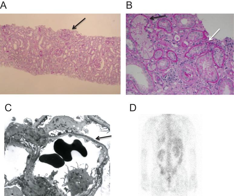
Alectinib is a second generation anaplastic lymphoma kinase (ALK) tyrosine kinase inhibitor and is generally effective and tolerated in patients who have demonstrated disease progression or adverse effects while on the first generation inhibitor, crizotinib. ALK inhibitors can cause a reversible chronic increase of serum creatinine concentration; however, they rarely induce progressive renal insufficiency. We herein report a case of a 68-year-old woman diagnosed with ALK-positive advanced non-small cell lung cancer and who received ALK inhibitors. Due to dysgeusia and transaminitis, her medication was switched from crizotinib to alectinib. Rapid progressive glomerulonephritis developed 1 year after the initiation of alectinib treatment. A renal biopsy revealed unique kidney lesions in both tubules and glomeruli. Glucocorticoid therapy partially reversed kidney impairment. However, re-administration of alectinib caused kidney dysfunction, which was improved by the cessation of alectinib. Our case suggests that much attention should be paid to kidney function when using ALK inhibitors.

摘要

阿来替尼是第二代间变性淋巴瘤激酶(ALK)酪氨酸激酶抑制剂,对于那些在使用第一代抑制剂克唑替尼时已出现疾病进展或不良反应的患者,它通常有效且耐受性良好。ALK抑制剂可导致血清肌酐浓度可逆性慢性升高;然而,它们很少诱发进行性肾功能不全。我们在此报告一例68岁女性,她被诊断为ALK阳性晚期非小细胞肺癌并接受了ALK抑制剂治疗。由于味觉障碍和转氨酶升高,她的用药从克唑替尼换成了阿来替尼。在阿来替尼治疗开始1年后发生了快速进展性肾小球肾炎。肾活检显示肾小管和肾小球均有独特的肾脏病变。糖皮质激素治疗部分逆转了肾功能损害。然而,重新使用阿来替尼导致肾功能障碍,停用阿来替尼后肾功能障碍得到改善。我们的病例提示,使用ALK抑制剂时应高度关注肾功能。

https://cdn.ncbi.nlm.nih.gov/pmc/blobs/892d/5915949/ecc795945263/omy009f01.jpg

文献AI研究员

20分钟写一篇综述,助力文献阅读效率提升50倍。

立即体验

用中文搜PubMed

大模型驱动的PubMed中文搜索引擎

马上搜索

文档翻译

学术文献翻译模型,支持多种主流文档格式。

立即体验