Suppr超能文献

A case report of autoimmune pancreatitis associated with a pancreatic pseudocyst.

作者信息

Zhang Kai, Liu Xianying, Yi Lei, Li Jiannan, Shi Jian, Liu Tongjun

机构信息

Department of General Surgery Medical Department, The Second Hospital of Jilin University, Changchun, Jilin, China.

出版信息

Medicine (Baltimore). 2018 May;97(19):e0439. doi: 10.1097/MD.0000000000010439.

Abstract

RATIONALE

Autoimmune pancreatitis (AIP) is a special type of chronic pancreatitis, which is rarely associated with pseudocyst.

PATIENT CONCERNS

A 48-year-old man complained of a recurrent upper abdominal pain in our hospital.

DIAGNOSES

A cystic mass of size 4 × 3 cm in his pancreatic tail was found by computed tomography. The concentrations of serum carbohydrate antigen19-9 (81 U/mL) and serum immunoglobulin G4 (181 mg/dL) were elevated.

INTERVENTIONS

The patient received partial pancreatectomy with splenectomy and partial esophagectomy.

OUTCOMES

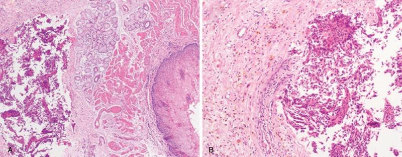
Further histopathological examination revealed a pseudocyst, significant lymphoplasmatic infiltration, and fibrosis in the pancreas and esophagus. We report a rare case of AIP complicated with a pancreatic pseudocyst and invasion of lower esophagus.

LESSONS

Our study demonstrated that surgical therapy should be considered for the refractory AIP complicated with a pancreatic pseudocyst and invasion of lower esophagus.

摘要
https://cdn.ncbi.nlm.nih.gov/pmc/blobs/035d/5959415/12798ddfe783/medi-97-e0439-g001.jpg

文献AI研究员

20分钟写一篇综述,助力文献阅读效率提升50倍。

立即体验

用中文搜PubMed

大模型驱动的PubMed中文搜索引擎

马上搜索

文档翻译

学术文献翻译模型,支持多种主流文档格式。

立即体验