Shirai Norimitsu, Evans Mark G
Drug Safety Research and Development, Pfizer Inc., Eastern Point Road, Office B274-1706D, Groton, CT 06340, USA.
Drug Safety Research and Development, Pfizer Inc., Science Center Drive, San Diego, CA 92121, USA.
J Toxicol Pathol. 2018 Apr;31(2):147-150. doi: 10.1293/tox.2017-0065. Epub 2018 Feb 18.
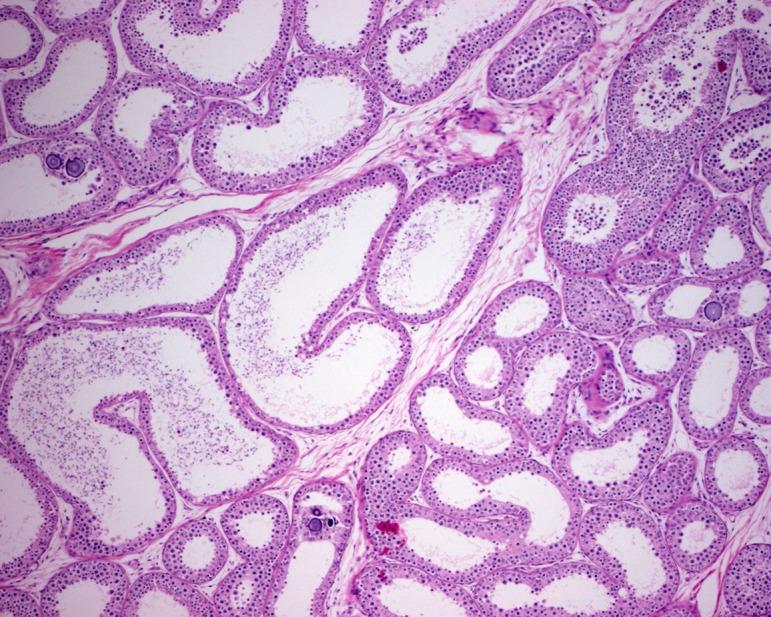
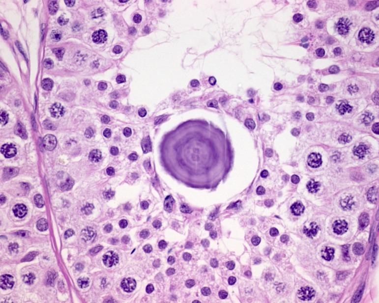
The present article describes an occurrence of testicular microlithiasis in a cynomolgus monkey from a routine regulatory toxicology study. The monkey was from a negative control group. Microscopically, the lesion was characterized by multiple extracellular mineralized calculi within seminiferous tubular epithelia of both testes without any tissue reaction or abnormal condition such as cryptorchidism, testicular neoplasm, or hypogonadism. The present case is remarkable in that there is a paucity of reports on spontaneous testicular microlithiasis in nonhuman primates. It is hoped that this case report will help to facilitate the differentiation of spontaneous changes from induced changes in nonhuman primate toxicology studies that are designed to use limited numbers of animals.
本文描述了在一项常规监管毒理学研究中,一只食蟹猴出现睾丸微石症的情况。这只猴子来自阴性对照组。显微镜下,病变特征为双侧睾丸生精小管上皮内有多个细胞外矿化结石,无任何组织反应或异常情况,如隐睾、睾丸肿瘤或性腺功能减退。本病例值得注意的是,关于非人类灵长类动物自发性睾丸微石症的报道很少。希望本病例报告将有助于在旨在使用有限数量动物的非人类灵长类动物毒理学研究中,促进区分自发变化和诱导变化。