Manfreda Francesco, Ceccarini Paolo, Corzani Marco, Petruccelli Rosario, Antinolfi Pierluigi, Rinonapoli Giuseppe, Caraffa Auro
Department of Orthopedics and Traumatology, University of Perugia, Perugia, Italy.
Division of Orthopedics and Trauma Surgery, Santa Maria della Misericordia Hospital, Perugia, Italy.
SAGE Open Med Case Rep. 2018 May 14;6:2050313X18775587. doi: 10.1177/2050313X18775587. eCollection 2018.
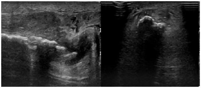
We report the case of a 66-year-old male patient with massive ossification of the distal portion of the Achilles tendon, as a late consequence of a surgical release for club foot conducted in his childhood. The singularity of the case report derives from its clinical features: the bone mass was of abnormal dimensions, almost substituting the entire tendon; the condition had always been asymptomatic, without deficits in range of motion, in absence of either pain or biomechanical defects with age. In fact, the condition was diagnosed just recently as a consequence of a tear. Despite an ultrasound diagnosis after the injury, only during the surgical treatment, a proper evaluation of the entity of the pathology was possible. Although the ossification of Achilles tendon is a rare clinical condition with a complex multifactorial etiology, in our case report, some of the elements in the patient's medical history could be useful for the pathogenesis and early diagnosis of the disease. The aim of this case report is to emphasize the importance both of a correct evaluation of clinical history and of an accurate diagnosis, in order to conduct a proper management of this pathology.
我们报告了一例66岁男性患者,其跟腱远端出现大量骨化,这是他童年时期接受马蹄内翻足手术松解的晚期后果。该病例报告的独特之处在于其临床特征:骨块尺寸异常,几乎替代了整个肌腱;该病症一直无症状,活动范围无受限,未随年龄增长出现疼痛或生物力学缺陷。事实上,该病症最近因一次撕裂才被诊断出来。尽管受伤后经超声诊断,但仅在手术治疗期间,才有可能对病变实体进行恰当评估。虽然跟腱骨化是一种病因复杂的罕见临床病症,但在我们的病例报告中,患者病史中的一些因素可能有助于该病的发病机制研究和早期诊断。本病例报告的目的是强调正确评估临床病史和准确诊断的重要性,以便对该病症进行恰当处理。