Suppr超能文献

植物化学物质介导的过氧化氢的产生对于甘露蜜的高抗菌活性至关重要。

Phytochemicals-mediated production of hydrogen peroxide is crucial for high antibacterial activity of honeydew honey.

机构信息

Laboratory of Apidology and Apitherapy, Institute of Molecular Biology, Slovak Academy of Sciences, Dubravska cesta 21, 845 51, Bratislava, Slovakia.

Plant Science and Biodiversity Center, Slovak Academy of Sciences, Dubravska cesta 9, 845 23, Bratislava, Slovakia.

出版信息

Sci Rep. 2018 Jun 13;8(1):9061. doi: 10.1038/s41598-018-27449-3.

Abstract

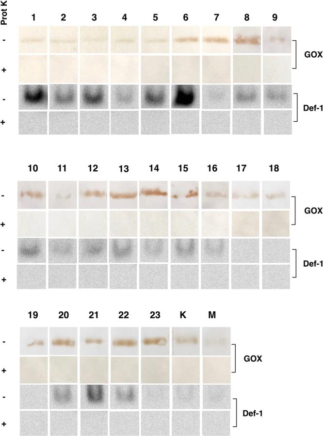
Honeydew honey is increasingly valued due to its pronounced antibacterial potential; however, the underlying mechanism and compounds responsible for the strong antibacterial activity of honeydew honey are still unknown. The aim of this study was to investigate the inhibition of bacterial growth of 23 honeydew honey samples. Activity of bee-derived glucose oxidase (GOX) enzyme, the content of defensin-1 (Def-1) and hydrogen peroxide (HO), and total polyphenol content were determined in the 23 honey samples. Our results demonstrated that antibacterial activity of honeydew honey was equivalent to medical-grade manuka and kanuka honey and was abolished by catalase. Although HO is an important factor in the inhibition of bacterial growth, polyphenolic compounds and their interaction with HO are the key factors responsible for high antibacterial activity of honeydew honey. In addition, our results indicated that the antibacterial activity of honeydew honey is not dependent on GOX-mediated production of HO or the presence of Def-1.

摘要

由于其显著的抗菌潜力,甘露蜜越来越受到重视;然而,导致甘露蜜具有强大抗菌活性的潜在机制和化合物仍不清楚。本研究旨在研究 23 种甘露蜜样品对细菌生长的抑制作用。在 23 种蜂蜜样品中测定了来源于蜜蜂的葡萄糖氧化酶(GOX)酶的活性、防御素-1(Def-1)和过氧化氢(HO)的含量以及总多酚含量。我们的结果表明,甘露蜜的抗菌活性相当于医用级麦卢卡和卡努卡蜂蜜,并被过氧化氢酶所抑制。尽管 HO 是抑制细菌生长的重要因素,但多酚化合物及其与 HO 的相互作用是导致甘露蜜具有高抗菌活性的关键因素。此外,我们的结果表明,甘露蜜的抗菌活性不依赖于 GOX 介导的 HO 产生或 Def-1 的存在。

https://cdn.ncbi.nlm.nih.gov/pmc/blobs/bd76/5998132/886adec27ce5/41598_2018_27449_Fig1_HTML.jpg

文献AI研究员

20分钟写一篇综述,助力文献阅读效率提升50倍。

立即体验

用中文搜PubMed

大模型驱动的PubMed中文搜索引擎

马上搜索

文档翻译

学术文献翻译模型,支持多种主流文档格式。

立即体验